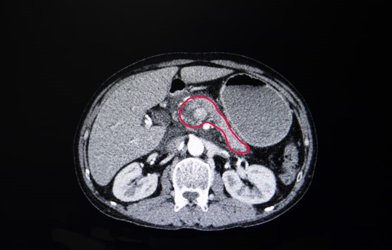
A clinically validated 3D deep learning approach for quantifying vascular invasion in pancreatic cancer
Vascular invasion assessment is critical for surgical planning in pancreatic ductal adenocarcinoma (PDAC). Current CT-based assessments often rely on radiologists’ subjective 2D interpretations, which may not capture the continuous, three-dimensional tumor–vessel interactions and multiple…
Continue Reading

