ML Model Estimates Chemotherapy Success in Bone Cancer Patients
By Shania Kennedy
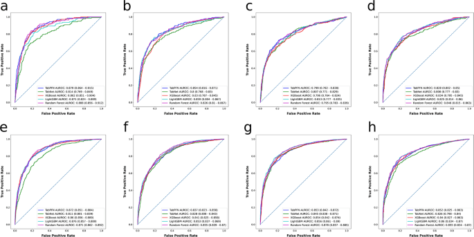
November 03, 2023 – Researchers at Johns Hopkins Medicine have developed a machine learning (ML) tool capable of estimating the percent necrosis (PN)—the percentage of a tumor that is considered “dead” and no…
Continue Reading
