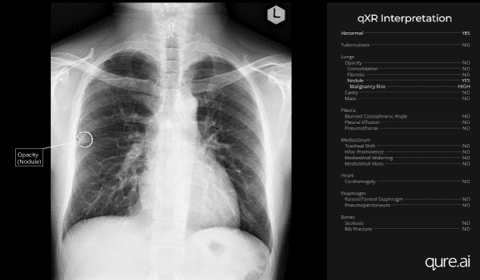
Nebraska Medicine & CancerIQ Boost Lung Cancer Risk Assessments by 6x
What You Should Know:
– Nebraska Medicine, the clinical partner of the University of Nebraska Medical Center, achieved a nearly 6x increase in lung cancer risk assessment completion through a collaboration with CancerIQ, a best-in-class cancer-focused…
Continue Reading
