Sources
![]() An artificial intelligence cloud platform for OCT-based retinal anomalies screening system in real clinical environments
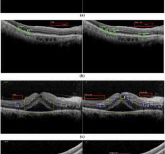
npj Digital Medicine - (Friday August 29, 2025) Millions of individuals worldwide suffer from retinal anomalies, which can lead to irreversible vision loss. However, the number of ophthalmologists is highly mismatched with the population base in China, especially in many rural and… ![]() News 8/29/25
HIStalk - (Friday August 29, 2025) Top News ChatGPT maker OpenAI will reportedly build its own healthcare applications. |
![]() Mount Sinai Researchers Use AI and Lab Data to Predict Genetic Disease Risk
HIT Consultant - (Friday August 29, 2025) Image credit: Icahn School of Medicine at Mount Sinai What You Should Know: – Researchers at the Icahn School of Medicine at Mount Sinai have developed a new method using artificial intelligence (AI) and routine lab… ![]() Scribematic Launches Matic Inside, an Embedded AI Scribe Solution for EHR Vendors
HIT Consultant - (Friday August 29, 2025) What You Should Know: – The team behind Scribematic has launched Matic Inside, a fully embedded AI clinical documentation solution specifically built for EHR vendors. – The launch comes at a time of a significant shift… |
![]() Content Management Systems Can Reduce Burnout Among Clinical and Nonclinical Workers
HealthTech Magazine - (Thursday August 28, 2025) Enterprise Content Management System Benefits for Healthcare ![]() Tools that can support doctors to ensure that every patient gets all the things that they need.
BeKey - (Thursday August 28, 2025) Because I'm tired or it's the middle of the night or somebody is unfamiliar. We have tools that can support us and augment our capabilities to ensure that every patient gets all the things… |
![]() Emphysema progression risk in COPD using a localized foundational model of density evolution
npj Digital Medicine - (Thursday August 28, 2025) Emphysema progression in chronic obstructive pulmonary disease (COPD) presents a notable challenge due to its significant variability among individuals and the current lack of reliable prognostic markers. Given the limited therapeutic options available for… ![]() ALIGNMT AI Raises $6.5M to Deliver AI Governance for Healthcare
HIT Consultant - (Thursday August 28, 2025) What You Should Know: – ALIGNMT AI, a company that provides an AI compliance platform for healthcare, has announced that it has raised $6.5M in seed funding led by AIX Ventures, with participation from Sancus… |
![]() What success metrics or KPIs can you rely on to evaluate the impact of digital transformation?
Healthcare IT Today - (Thursday August 28, 2025) "Optimization is a four letter word to most clinicians…" 🤭We loved Alex Long's candid answers during our panel interview with Dell and AMD. Watch the whole thing 👉 https://www.healthcareittoday.com/2025/07/08/transforming-healthcare-operations-with-innovation-and-ai-with-dell-technologies-and-amd/#DellTechnologies #AMD #AIInnovation #healthtech #healthIT #healthcare… ![]() AI, Equity, and the Future of Care: A Conversation with Dr. Jesse Ehrenfeld
BeKey - (Thursday August 28, 2025) In this powerful episode of Digital Health Interviews, we sit down with Dr. Jesse Ehrenfeld, 178th President of the American Medical Association, a physician, veteran, and a leading voice for equity and innovation in… |













