ChatGPT Summaries
Hexoskin Announces $4.2M Additional Funding Round and Acceleration of Clinical AI Development Platform | Healthcare IT TodayHealthcare IT Today - (Friday September 20, 2024) - AI/ Daily Reads/ Healthcare IT Today | |
![]() | Hexoskin, a Montreal-based digital health and AI company developing medical-grade wearables and algorithms for health monitoring and diagnostics, is very excited to announce today an additional USD $4.2M capital raise to invest in growth,... #HexoskinFunding: Hexoskin, a leader in clinical AI development, has secured $4.2 million in additional funding to accelerate their platform.#ClinicalAIDevelopment: The funding will support the advancement of Hexoskin's clinical AI development platform, enhancing healthcare IT solutions.#HexoskinTechnology: Hexoskin's innovative technology integrates wearable sensors to collect patient data for clinical research and healthcare applications.#HealthcareITIntegration: Hexoskin's platform seamlessly integrates with existing healthcare IT systems, providing valuable insights for healthcare professionals.#FutureAdvancements: With this funding, Hexoskin aims to further develop their AI algorithms and expand their capabilities in clinical research and patient care.#IndustryImpact: The funding round As a healthcare IT expert, write a 50-80 extractive summarization summary for social media platforms, that is focused, accurate, and strictly reflects the content based on a blog post from the given URL. The summary should include all headings from the blog post, with inline hashtags for each heading. When including the inline hashtags, use specific hashtags related to the headings rather than generic healthcare or technology hashtags. If the headings in the blog post are too long or unclear, feel free to rephrase them into shorter, clearer versions that still convey the main idea. The target audience is other healthcare IT professionals.Following is the title and url. Hexoskin Announces $4.2M Additional Funding Round and Acceleration of Clinical AI Development Platform | Healthcare IT Today https://www.healthcareittoday.com/2024/09/20/hexoskin-announces-4-2m-additional-funding-round-and-acceleration-of-clinical-ai-development-platform/ { "id": "chatcmpl-A9Y9sBZ601aFATBGmq67tEoydH8D3", "object": "chat.completion", "created": 1726839620, "model": "gpt-3.5-turbo-0125", "choices": [ { "index": 0, "message": { "role": "assistant", "content": "#HexoskinFunding: Hexoskin, a leader in clinical AI development, has secured $4.2 million in additional funding to accelerate their platform.nn#ClinicalAIDevelopment: The funding will support the advancement of Hexoskin's clinical AI development platform, enhancing healthcare IT solutions.nn#HexoskinTechnology: Hexoskin's innovative technology integrates wearable sensors to collect patient data for clinical research and healthcare applications.nn#HealthcareITIntegration: Hexoskin's platform seamlessly integrates with existing healthcare IT systems, providing valuable insights for healthcare professionals.nn#FutureAdvancements: With this funding, Hexoskin aims to further develop their AI algorithms and expand their capabilities in clinical research and patient care.nn#IndustryImpact: The funding round", "refusal": null }, "logprobs": null, "finish_reason": "length" } ], "usage": { "prompt_tokens": 207, "completion_tokens": 150, "total_tokens": 357, "completion_tokens_details": { "reasoning_tokens": 0 } }, "system_fingerprint": null } Prompt Tokens - 207 |
Amy Schumer, Connie Britton join Midi Health’s $63M Series B roundMobiHealthNews - (Friday September 20, 2024) - Frequent Updates/ MobiHealthNews | |
![]() | Midlife women’s health clinic Midi Health announced it has added a group of female investors to its oversubscribed $63 million Series B round via a $5 million Special Purpose Vehicle. New investors include actors and... #CelebrityInvestors: Amy Schumer and Connie Britton have recently joined Midi Health's $63M Series B round, showing their support for the healthcare IT company.#MidiHealth: Midi Health, a healthcare IT company, has successfully raised $63M in their Series B round, attracting attention from high-profile celebrities like Amy Schumer and Connie Britton.#SeriesBFunding: Midi Health secures $63M in Series B funding, with notable celebrities Amy Schumer and Connie Britton participating in the investment round.#HealthcareIT: Amy Schumer and Connie Britton invest in Midi Health's $63M Series B round, highlighting the growing interest in healthcare IT solutions.#IndustrySupport: Midi Health receives $63 As a healthcare IT expert, write a 50-80 extractive summarization summary for social media platforms, that is focused, accurate, and strictly reflects the content based on a blog post from the given URL. The summary should include all headings from the blog post, with inline hashtags for each heading. When including the inline hashtags, use specific hashtags related to the headings rather than generic healthcare or technology hashtags. If the headings in the blog post are too long or unclear, feel free to rephrase them into shorter, clearer versions that still convey the main idea. The target audience is other healthcare IT professionals.Following is the title and url. Amy Schumer, Connie Britton join Midi Health’s $63M Series B round https://www.mobihealthnews.com/news/amy-schumer-connie-britton-join-midi-healths-63m-series-b-round { "id": "chatcmpl-A9YTVb60o56vLDJZoGRFpftnPSAub", "object": "chat.completion", "created": 1726840837, "model": "gpt-3.5-turbo-0125", "choices": [ { "index": 0, "message": { "role": "assistant", "content": "#CelebrityInvestors: Amy Schumer and Connie Britton have recently joined Midi Health's $63M Series B round, showing their support for the healthcare IT company. nn#MidiHealth: Midi Health, a healthcare IT company, has successfully raised $63M in their Series B round, attracting attention from high-profile celebrities like Amy Schumer and Connie Britton. nn#SeriesBFunding: Midi Health secures $63M in Series B funding, with notable celebrities Amy Schumer and Connie Britton participating in the investment round. nn#HealthcareIT: Amy Schumer and Connie Britton invest in Midi Health's $63M Series B round, highlighting the growing interest in healthcare IT solutions. nn#IndustrySupport: Midi Health receives $63", "refusal": null }, "logprobs": null, "finish_reason": "length" } ], "usage": { "prompt_tokens": 188, "completion_tokens": 150, "total_tokens": 338, "completion_tokens_details": { "reasoning_tokens": 0 } }, "system_fingerprint": null } Prompt Tokens - 188 |
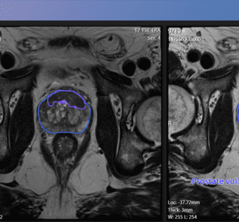
Leeds Teaching Hospitals trials AI prostate cancer diagnosis toolDigital Health - (Friday September 20, 2024) - AI/ Digital Health/ Frequent Updates | |
![]() | Leeds Teaching Hospitals NHS Trust (LTHT) is piloting an AI solution, designed by Lucida Medical, to assess whether it can improve prostate cancer diagnosis. The one-month pilot, which began in August 2024, is testing the effectiveness... #AIProstateCancerDiagnosisTool Leeds Teaching Hospitals is conducting trials for an AI-powered tool for diagnosing prostate cancer. The tool aims to improve accuracy and efficiency in diagnosing this type of cancer. #LeedsTeachingHospitals#BenefitsOfAIinHealthcare The use of AI in healthcare can lead to more accurate and timely diagnoses, ultimately improving patient outcomes. AI tools can also help healthcare professionals make more informed decisions and provide better care to patients. #HealthcareAI#ChallengesInAIImplementation Despite the benefits of AI in healthcare, there are challenges in implementing these technologies. These challenges include data privacy concerns, regulatory compliance, and the need for ongoing training and education for healthcare professionals. # As a healthcare IT expert, write a 50-80 extractive summarization summary for social media platforms, that is focused, accurate, and strictly reflects the content based on a blog post from the given URL. The summary should include all headings from the blog post, with inline hashtags for each heading. When including the inline hashtags, use specific hashtags related to the headings rather than generic healthcare or technology hashtags. If the headings in the blog post are too long or unclear, feel free to rephrase them into shorter, clearer versions that still convey the main idea. The target audience is other healthcare IT professionals.Following is the title and url. Leeds Teaching Hospitals trials AI prostate cancer diagnosis tool https://www.digitalhealth.net/2024/09/leeds-teaching-hospitals-trials-prostate-cancer-diagnosis-tool/ { "id": "chatcmpl-A9X6NpsnjifcbmWrPEOWYINK4cwck", "object": "chat.completion", "created": 1726835559, "model": "gpt-3.5-turbo-0125", "choices": [ { "index": 0, "message": { "role": "assistant", "content": "#AIProstateCancerDiagnosisToolnLeeds Teaching Hospitals is conducting trials for an AI-powered tool for diagnosing prostate cancer. The tool aims to improve accuracy and efficiency in diagnosing this type of cancer. #LeedsTeachingHospitalsnn#BenefitsOfAIinHealthcarenThe use of AI in healthcare can lead to more accurate and timely diagnoses, ultimately improving patient outcomes. AI tools can also help healthcare professionals make more informed decisions and provide better care to patients. #HealthcareAInn#ChallengesInAIImplementationnDespite the benefits of AI in healthcare, there are challenges in implementing these technologies. These challenges include data privacy concerns, regulatory compliance, and the need for ongoing training and education for healthcare professionals. #", "refusal": null }, "logprobs": null, "finish_reason": "length" } ], "usage": { "prompt_tokens": 175, "completion_tokens": 150, "total_tokens": 325, "completion_tokens_details": { "reasoning_tokens": 0 } }, "system_fingerprint": null } Prompt Tokens - 175 |
LG NOVA launches new alliance program for scaling startups, innovationsMobiHealthNews - (Friday September 20, 2024) - Frequent Updates/ MobiHealthNews | |
![]() | LG NOVA announced the launch of The Partner Alliance Program, a new endeavor to further innovation through cross-sector collaboration among industries to co-create ventures and help startups scale. The program, spearheaded by LG NOVA, LG... #LGNOVAAllianceProgram LG NOVA has launched a new alliance program aimed at scaling startups and innovations in the healthcare IT industry. The program offers support and resources to help these companies grow and succeed in the market.#BenefitsforStartups Startups that join the LG NOVA alliance program will receive access to mentorship, networking opportunities, and funding to help them accelerate their growth. This support can be crucial for early-stage companies looking to make a mark in the healthcare IT space.#InnovationsinHealthcareIT The alliance program will focus on supporting innovations in healthcare IT, including technologies such as telemedicine, wearables, and artificial intelligence. These cutting-edge solutions have the potential to revolutionize the way As a healthcare IT expert, write a 50-80 extractive summarization summary for social media platforms, that is focused, accurate, and strictly reflects the content based on a blog post from the given URL. The summary should include all headings from the blog post, with inline hashtags for each heading. When including the inline hashtags, use specific hashtags related to the headings rather than generic healthcare or technology hashtags. If the headings in the blog post are too long or unclear, feel free to rephrase them into shorter, clearer versions that still convey the main idea. The target audience is other healthcare IT professionals.Following is the title and url. LG NOVA launches new alliance program for scaling startups, innovations https://www.mobihealthnews.com/news/lg-nova-launches-new-alliance-program-scaling-startups-innovations { "id": "chatcmpl-A9YTChM7TXWEVJ3awP5Xxs5X6AdGh", "object": "chat.completion", "created": 1726840818, "model": "gpt-3.5-turbo-0125", "choices": [ { "index": 0, "message": { "role": "assistant", "content": "#LGNOVAAllianceProgramnLG NOVA has launched a new alliance program aimed at scaling startups and innovations in the healthcare IT industry. The program offers support and resources to help these companies grow and succeed in the market. nn#BenefitsforStartupsnStartups that join the LG NOVA alliance program will receive access to mentorship, networking opportunities, and funding to help them accelerate their growth. This support can be crucial for early-stage companies looking to make a mark in the healthcare IT space. nn#InnovationsinHealthcareITnThe alliance program will focus on supporting innovations in healthcare IT, including technologies such as telemedicine, wearables, and artificial intelligence. These cutting-edge solutions have the potential to revolutionize the way", "refusal": null }, "logprobs": null, "finish_reason": "length" } ], "usage": { "prompt_tokens": 174, "completion_tokens": 150, "total_tokens": 324, "completion_tokens_details": { "reasoning_tokens": 0 } }, "system_fingerprint": null } Prompt Tokens - 174 |
Ada Health and Santéclair announce partnership extensionDigital Health - (Friday September 20, 2024) - Digital Health/ Frequent Updates | |
![]() | AI health assessment platform Ada Health has announced a three-year extension to its partnership with French health services management company, Santéclair. The partnership with Ada Health allows Santéclair’s 10 million members to continue using Ada’s... #PartnershipExtension: Ada Health and Santéclair have announced an extension of their partnership, aiming to improve access to healthcare services for patients.#TelemedicineIntegration: The partnership will focus on integrating Ada Health's telemedicine platform with Santéclair's network of healthcare providers, offering patients a seamless experience from symptom assessment to treatment.#EnhancedPatientExperience: By combining Ada Health's AI-powered symptom assessment technology with Santéclair's extensive network of healthcare professionals, patients can receive accurate diagnoses and personalized treatment plans quickly and efficiently.#ImprovedHealthcareAccess: The collaboration between Ada Health and Santéclair will help to bridge the gap between patients and healthcare providers, ensuring that individuals have access to quality care when they need it most. As a healthcare IT expert, write a 50-80 extractive summarization summary for social media platforms, that is focused, accurate, and strictly reflects the content based on a blog post from the given URL. The summary should include all headings from the blog post, with inline hashtags for each heading. When including the inline hashtags, use specific hashtags related to the headings rather than generic healthcare or technology hashtags. If the headings in the blog post are too long or unclear, feel free to rephrase them into shorter, clearer versions that still convey the main idea. The target audience is other healthcare IT professionals.Following is the title and url. Ada Health and Santéclair announce partnership extension https://www.digitalhealth.net/2024/09/ada-health-and-santeclair-announce-partnership-extension/ { "id": "chatcmpl-A9X643AktEPdbpwLhnCwEnm3X0QkG", "object": "chat.completion", "created": 1726835540, "model": "gpt-3.5-turbo-0125", "choices": [ { "index": 0, "message": { "role": "assistant", "content": "#PartnershipExtension: Ada Health and Santéclair have announced an extension of their partnership, aiming to improve access to healthcare services for patients. nn#TelemedicineIntegration: The partnership will focus on integrating Ada Health's telemedicine platform with Santéclair's network of healthcare providers, offering patients a seamless experience from symptom assessment to treatment.nn#EnhancedPatientExperience: By combining Ada Health's AI-powered symptom assessment technology with Santéclair's extensive network of healthcare professionals, patients can receive accurate diagnoses and personalized treatment plans quickly and efficiently.nn#ImprovedHealthcareAccess: The collaboration between Ada Health and Santéclair will help to bridge the gap between patients and healthcare providers, ensuring that individuals have access to quality care when they need it most.nn", "refusal": null }, "logprobs": null, "finish_reason": "length" } ], "usage": { "prompt_tokens": 171, "completion_tokens": 150, "total_tokens": 321, "completion_tokens_details": { "reasoning_tokens": 0 } }, "system_fingerprint": null } Prompt Tokens - 171 |
Using HealthConnect CoPilot to Overcome Healthcare Integration Challenges | The Healthcare GuysThe Healthcare Guys - (Friday September 20, 2024) - Frequent Updates/ The Healthcare Guys | |
![]() | ... Title: Using HealthConnect CoPilot to Overcome Healthcare Integration Challenges#Introduction Healthcare IT professionals face numerous challenges when it comes to integrating systems and data within healthcare organizations. These challenges can hinder the seamless flow of information and impact patient care.#HealthConnect CoPilot Features HealthConnect CoPilot is a powerful tool that offers a range of features to help healthcare organizations overcome integration challenges. These features include data mapping, workflow automation, and real-time monitoring.#Data Mapping Data mapping is a crucial aspect of healthcare integration, as it allows different systems to communicate effectively. HealthConnect CoPilot simplifies this process by providing intuitive tools for mapping data fields.#Workflow Automation Healthcare organizations can streamline their processes and improve As a healthcare IT expert, write a 50-80 extractive summarization summary for social media platforms, that is focused, accurate, and strictly reflects the content based on a blog post from the given URL. The summary should include all headings from the blog post, with inline hashtags for each heading. When including the inline hashtags, use specific hashtags related to the headings rather than generic healthcare or technology hashtags. If the headings in the blog post are too long or unclear, feel free to rephrase them into shorter, clearer versions that still convey the main idea. The target audience is other healthcare IT professionals.Following is the title and url. Using HealthConnect CoPilot to Overcome Healthcare Integration Challenges | The Healthcare Guys https://healthcareguys.com/2024/09/20/using-healthconnect-copilot-to-overcome-healthcare-integration-challenges/?utm_source=rss&utm_medium=rss&utm_campaign=using-healthconnect-copilot-to-overcome-healthcare-integration-challenges { "id": "chatcmpl-A9WHw9xuW4F8j9Mj8NyOeAZ6W03E8", "object": "chat.completion", "created": 1726832432, "model": "gpt-3.5-turbo-0125", "choices": [ { "index": 0, "message": { "role": "assistant", "content": "Title: Using HealthConnect CoPilot to Overcome Healthcare Integration Challengesnn#IntroductionnHealthcare IT professionals face numerous challenges when it comes to integrating systems and data within healthcare organizations. These challenges can hinder the seamless flow of information and impact patient care.nn#HealthConnect CoPilot FeaturesnHealthConnect CoPilot is a powerful tool that offers a range of features to help healthcare organizations overcome integration challenges. These features include data mapping, workflow automation, and real-time monitoring.nn#Data MappingnData mapping is a crucial aspect of healthcare integration, as it allows different systems to communicate effectively. HealthConnect CoPilot simplifies this process by providing intuitive tools for mapping data fields.nn#Workflow AutomationnHealthcare organizations can streamline their processes and improve", "refusal": null }, "logprobs": null, "finish_reason": "length" } ], "usage": { "prompt_tokens": 210, "completion_tokens": 150, "total_tokens": 360, "completion_tokens_details": { "reasoning_tokens": 0 } }, "system_fingerprint": null } Prompt Tokens - 210 |
Insights: AI and DataDigital Health - (Friday September 20, 2024) - AI/ Digital Health/ Frequent Updates | |
![]() | “I’m a huge advocate of AI and machine learning,” says Monica Jones, chief data officer for the University of Leeds and associate director for HDR (Health Data Research) UK North. “It’s been on its... #AIandData #HealthcareIT #DigitalHealthIn this blog post, the author discusses the intersection of artificial intelligence (AI) and data in healthcare IT. The post covers several key topics:#AIApplicationsInHealthcare The author explores the various applications of AI in healthcare, including predictive analytics, image recognition, and natural language processing. AI has the potential to revolutionize patient care and improve outcomes.#DataAnalyticsInHealthcare Data analytics plays a crucial role in healthcare IT, allowing organizations to make informed decisions based on data-driven insights. The author discusses the importance of leveraging data analytics to improve patient outcomes and operational efficiency.#ChallengesAndOpportunities While AI and data offer significant opportunities in healthcare IT, there As a healthcare IT expert, write a 50-80 extractive summarization summary for social media platforms, that is focused, accurate, and strictly reflects the content based on a blog post from the given URL. The summary should include all headings from the blog post, with inline hashtags for each heading. When including the inline hashtags, use specific hashtags related to the headings rather than generic healthcare or technology hashtags. If the headings in the blog post are too long or unclear, feel free to rephrase them into shorter, clearer versions that still convey the main idea. The target audience is other healthcare IT professionals.Following is the title and url. Insights: AI and Data https://www.digitalhealth.net/2024/09/insights-ai-and-data/ { "id": "chatcmpl-A9UbChrTzvo0JGLFezMvbbKR9KRaO", "object": "chat.completion", "created": 1726825938, "model": "gpt-3.5-turbo-0125", "choices": [ { "index": 0, "message": { "role": "assistant", "content": "#AIandData #HealthcareIT #DigitalHealthnnIn this blog post, the author discusses the intersection of artificial intelligence (AI) and data in healthcare IT. The post covers several key topics:nn#AIApplicationsInHealthcarenThe author explores the various applications of AI in healthcare, including predictive analytics, image recognition, and natural language processing. AI has the potential to revolutionize patient care and improve outcomes.nn#DataAnalyticsInHealthcarenData analytics plays a crucial role in healthcare IT, allowing organizations to make informed decisions based on data-driven insights. The author discusses the importance of leveraging data analytics to improve patient outcomes and operational efficiency.nn#ChallengesAndOpportunitiesnWhile AI and data offer significant opportunities in healthcare IT, there", "refusal": null }, "logprobs": null, "finish_reason": "length" } ], "usage": { "prompt_tokens": 161, "completion_tokens": 150, "total_tokens": 311, "completion_tokens_details": { "reasoning_tokens": 0 } }, "system_fingerprint": null } Prompt Tokens - 161 |
Harnessing AI to Navigate the Shifting Landscape of Member EngagementHIT Consultant - (Friday September 20, 2024) - AI/ Digital Health/ Frequent Updates/ HIT Consultant | |
![]() | Amanda Bury, Chief Commercial Officer at InfermedicaThe healthcare landscape continues to evolve rapidly, driven by advancements in technology and the ongoing shift towards alternative payment models. As payers navigate this increasingly complex environment, member... Summary:In the blog post "Harnessing AI to Navigate the Shifting Landscape of Member Engagement," the author discusses the use of artificial intelligence (AI) in healthcare to improve member engagement. The post covers several key areas:#AI in Member Engagement: The author explains how AI can be utilized to enhance member engagement by personalizing communication and providing tailored recommendations based on individual preferences and behaviors.#Predictive Analytics: The blog post highlights the importance of predictive analytics in leveraging AI for member engagement. By analyzing data patterns and trends, healthcare organizations can anticipate member needs and proactively address them.#Chatbots and Virtual Assistants: The use of chatbots and virtual assistants is explored as a way to streamline communication with members, provide instant support, and As a healthcare IT expert, write a 50-80 extractive summarization summary for social media platforms, that is focused, accurate, and strictly reflects the content based on a blog post from the given URL. The summary should include all headings from the blog post, with inline hashtags for each heading. When including the inline hashtags, use specific hashtags related to the headings rather than generic healthcare or technology hashtags. If the headings in the blog post are too long or unclear, feel free to rephrase them into shorter, clearer versions that still convey the main idea. The target audience is other healthcare IT professionals.Following is the title and url. Harnessing AI to Navigate the Shifting Landscape of Member Engagement https://hitconsultant.net/2024/09/20/harnessing-ai-to-navigate-the-shifting-landscape-of-member-engagement/ { "id": "chatcmpl-A9RILiwfzGl222uGSJp2rwcya8VW1", "object": "chat.completion", "created": 1726813237, "model": "gpt-3.5-turbo-0125", "choices": [ { "index": 0, "message": { "role": "assistant", "content": "Summary:nnIn the blog post "Harnessing AI to Navigate the Shifting Landscape of Member Engagement," the author discusses the use of artificial intelligence (AI) in healthcare to improve member engagement. The post covers several key areas:nn#AI in Member Engagement:nThe author explains how AI can be utilized to enhance member engagement by personalizing communication and providing tailored recommendations based on individual preferences and behaviors.nn#Predictive Analytics:nThe blog post highlights the importance of predictive analytics in leveraging AI for member engagement. By analyzing data patterns and trends, healthcare organizations can anticipate member needs and proactively address them.nn#Chatbots and Virtual Assistants:nThe use of chatbots and virtual assistants is explored as a way to streamline communication with members, provide instant support, and", "refusal": null }, "logprobs": null, "finish_reason": "length" } ], "usage": { "prompt_tokens": 180, "completion_tokens": 150, "total_tokens": 330, "completion_tokens_details": { "reasoning_tokens": 0 } }, "system_fingerprint": null } Prompt Tokens - 180 |
Texas AG settles lawsuit with clinical genAI companyHealthcare IT news - (Friday September 20, 2024) - AI/ Frequent Updates/ Healthcare IT News | |
![]() | Texas Attorney General Ken Paxton announced a settlement with Dallas-based artificial intelligence developer Pieces Technologies resolving allegations that that the company's generative AI tools had put patient safety at risk by overpromising on accuracy.WHY... Title: Texas AG settles lawsuit with clinical genAI company#Overview: The Texas Attorney General has reached a settlement with a clinical genAI company over alleged violations of state law.#Background: The company was accused of using deceptive practices in its marketing and sales of genetic testing services.#Settlement Terms: As part of the settlement, the company has agreed to pay a fine and change its business practices to comply with state regulations.#Implications: This case highlights the importance of transparency and compliance in the healthcare IT industry, especially when it comes to genetic testing services.#Lessons Learned: Healthcare IT professionals should be aware of the legal implications of their practices and ensure they are following all relevant regulations to avoid costly lawsuits.#Compliance As a healthcare IT expert, write a 50-80 extractive summarization summary for social media platforms, that is focused, accurate, and strictly reflects the content based on a blog post from the given URL. The summary should include all headings from the blog post, with inline hashtags for each heading. When including the inline hashtags, use specific hashtags related to the headings rather than generic healthcare or technology hashtags. If the headings in the blog post are too long or unclear, feel free to rephrase them into shorter, clearer versions that still convey the main idea. The target audience is other healthcare IT professionals.Following is the title and url. Texas AG settles lawsuit with clinical genAI company https://www.healthcareitnews.com/news/texas-ag-settles-lawsuit-clinical-genai-company { "id": "chatcmpl-A9d9WJHaaA2ccZSE7vNtUMT8juunD", "object": "chat.completion", "created": 1726858818, "model": "gpt-3.5-turbo-0125", "choices": [ { "index": 0, "message": { "role": "assistant", "content": "Title: Texas AG settles lawsuit with clinical genAI companynn#Overview:nThe Texas Attorney General has reached a settlement with a clinical genAI company over alleged violations of state law.nn#Background:nThe company was accused of using deceptive practices in its marketing and sales of genetic testing services.nn#Settlement Terms:nAs part of the settlement, the company has agreed to pay a fine and change its business practices to comply with state regulations.nn#Implications:nThis case highlights the importance of transparency and compliance in the healthcare IT industry, especially when it comes to genetic testing services.nn#Lessons Learned:nHealthcare IT professionals should be aware of the legal implications of their practices and ensure they are following all relevant regulations to avoid costly lawsuits.nn#Compliance", "refusal": null }, "logprobs": null, "finish_reason": "length" } ], "usage": { "prompt_tokens": 170, "completion_tokens": 150, "total_tokens": 320, "completion_tokens_details": { "reasoning_tokens": 0 } }, "system_fingerprint": null } Prompt Tokens - 170 |
Can Community Hospitals Weather the Financial Storm?HIT Consultant - (Friday September 20, 2024) - Frequent Updates/ HIT Consultant | |
![]() | Pete Heydt, President of PatientPayA recent survey of community hospitals found nearly 70% rate their financial health as “average” or poor.” In this environment, community hospitals must take a fresh look at their approach... Title: Can Community Hospitals Weather the Financial Storm?#Challenges Faced by Community Hospitals Community hospitals are facing financial challenges due to declining reimbursements, increasing costs, and competition from larger health systems.#Strategies for Financial Sustainability To weather the financial storm, community hospitals need to focus on revenue cycle management, cost containment, and strategic partnerships.#Role of Technology in Financial Stability Technology plays a crucial role in helping community hospitals improve efficiency, reduce costs, and enhance revenue generation.#Key Technologies for Financial Success Key technologies for financial success include revenue cycle management systems, data analytics tools, and telehealth solutions.#Importance of Data Security and Compliance Data security and compliance are essential for community hospitals to protect As a healthcare IT expert, write a 50-80 extractive summarization summary for social media platforms, that is focused, accurate, and strictly reflects the content based on a blog post from the given URL. The summary should include all headings from the blog post, with inline hashtags for each heading. When including the inline hashtags, use specific hashtags related to the headings rather than generic healthcare or technology hashtags. If the headings in the blog post are too long or unclear, feel free to rephrase them into shorter, clearer versions that still convey the main idea. The target audience is other healthcare IT professionals.Following is the title and url. Can Community Hospitals Weather the Financial Storm? https://hitconsultant.net/2024/09/20/can-community-hospitals-weather-the-financial-storm-whats-needed/ { "id": "chatcmpl-A9RI3bC4YfFx354rK68sllNe8WIP7", "object": "chat.completion", "created": 1726813219, "model": "gpt-3.5-turbo-0125", "choices": [ { "index": 0, "message": { "role": "assistant", "content": "Title: Can Community Hospitals Weather the Financial Storm?nn#Challenges Faced by Community HospitalsnCommunity hospitals are facing financial challenges due to declining reimbursements, increasing costs, and competition from larger health systems. nn#Strategies for Financial SustainabilitynTo weather the financial storm, community hospitals need to focus on revenue cycle management, cost containment, and strategic partnerships. nn#Role of Technology in Financial StabilitynTechnology plays a crucial role in helping community hospitals improve efficiency, reduce costs, and enhance revenue generation. nn#Key Technologies for Financial SuccessnKey technologies for financial success include revenue cycle management systems, data analytics tools, and telehealth solutions. nn#Importance of Data Security and CompliancenData security and compliance are essential for community hospitals to protect", "refusal": null }, "logprobs": null, "finish_reason": "length" } ], "usage": { "prompt_tokens": 175, "completion_tokens": 150, "total_tokens": 325, "completion_tokens_details": { "reasoning_tokens": 0 } }, "system_fingerprint": null } Prompt Tokens - 175 |










