ChatGPT Summaries
The real-world association between digital markers of circadian disruption and mental health risksnpj Digital Medicine - (Thursday December 5, 2024) - Frequent Updates/ npj Digital Medicine | |
![]() | While circadian disruption is recognized as a potential driver of depression, its real-world impact is poorly understood. A critical step to addressing this is the noninvasive collection of physiological time-series data outside laboratory settings... Circadian disruption significantly impacts mental health, as evidenced by a study analyzing over 50,000 days of wearable data from medical interns. The research highlights the bidirectional relationship between digital markers of circadian misalignment and mood, demonstrating that misalignment correlates with increased depressive symptoms. Notably, the misalignment between the central circadian clock and sleep patterns was most strongly linked to mood deterioration. This study underscores the potential of digital biomarkers for monitoring mental health in real-world settings, paving the way for personalized interventions. #HealthcareIT #MentalHealth #WearableTech #CircadianRhythms #DigitalHealth #DataScience #HealthTech As a healthcare IT expert, write a 100-word extractive summarization based on a blog post from the given text for posting on LinkedIn. The summary should capture key ideas from the entire post and its headings while staying focused, clear, and engaging. Use 5-7 relevant and popular online hashtags that are most likely to drive visibility and engagement. Avoid adding URLs or calls to action, and ensure the language is optimized for LinkedIn engagement style with a variable potential hook or attention-grabbing statement. The target audience is other healthcare IT professionals. Following is the title and text. { "id": "chatcmpl-Ab7JSrMbjqaPwLnXJErDtuiqTJqW6", "object": "chat.completion", "created": 1733409610, "model": "gpt-4o-mini-2024-07-18", "choices": [ { "index": 0, "message": { "role": "assistant", "content": "Circadian disruption significantly impacts mental health, as evidenced by a study analyzing over 50,000 days of wearable data from medical interns. The research highlights the bidirectional relationship between digital markers of circadian misalignment and mood, demonstrating that misalignment correlates with increased depressive symptoms. Notably, the misalignment between the central circadian clock and sleep patterns was most strongly linked to mood deterioration. This study underscores the potential of digital biomarkers for monitoring mental health in real-world settings, paving the way for personalized interventions. #HealthcareIT #MentalHealth #WearableTech #CircadianRhythms #DigitalHealth #DataScience #HealthTech", "refusal": null }, "logprobs": null, "finish_reason": "stop" } ], "usage": { "prompt_tokens": 38052, "completion_tokens": 128, "total_tokens": 38180, "prompt_tokens_details": { "cached_tokens": 0, "audio_tokens": 0 }, "completion_tokens_details": { "reasoning_tokens": 0, "audio_tokens": 0, "accepted_prediction_tokens": 0, "rejected_prediction_tokens": 0 } }, "system_fingerprint": "fp_3de1288069" } Prompt Tokens - 38052 |
NHS data leader Ming Tang to deliver keynote at Rewired 2025Digital Health - (Thursday December 5, 2024) - Digital Health/ Frequent Updates | |
![]() | Ming Tang, chief data and analytics officer for NHS England, will deliver a keynote speech on the use of healthcare data at Digital Health Rewired 2025. The NHS 10-year plan is the government’s “once in... Exciting times ahead for healthcare data! Ming Tang, Chief Data and Analytics Officer for NHS England, will keynote at Digital Health Rewired 2025, focusing on maximizing the impact of data and technology in the NHS. As co-chair of the data and technology enabling working group, she aims to outline a roadmap for a digitally connected future, enhancing patient outcomes through actionable insights. With over 20 years of experience, Tang is set to inspire innovation in the sector. Don’t miss her insights at this pivotal event!#DigitalHealth #HealthTech #DataAnalytics #NHS #Innovation #HealthcareIT #AIinHealthcare As a healthcare IT expert, write a 100-word extractive summarization based on a blog post from the given text for posting on LinkedIn. The summary should capture key ideas from the entire post and its headings while staying focused, clear, and engaging. Use 5-7 relevant and popular online hashtags that are most likely to drive visibility and engagement. Avoid adding URLs or calls to action, and ensure the language is optimized for LinkedIn engagement style with a variable potential hook or attention-grabbing statement. The target audience is other healthcare IT professionals. Following is the title and text. { "id": "chatcmpl-Ab8BwVqS3PPIt3tFuBsyh8Um98zKL", "object": "chat.completion", "created": 1733412988, "model": "gpt-4o-mini-2024-07-18", "choices": [ { "index": 0, "message": { "role": "assistant", "content": "Exciting times ahead for healthcare data! Ming Tang, Chief Data and Analytics Officer for NHS England, will keynote at Digital Health Rewired 2025, focusing on maximizing the impact of data and technology in the NHS. As co-chair of the data and technology enabling working group, she aims to outline a roadmap for a digitally connected future, enhancing patient outcomes through actionable insights. With over 20 years of experience, Tang is set to inspire innovation in the sector. Don’t miss her insights at this pivotal event! nn#DigitalHealth #HealthTech #DataAnalytics #NHS #Innovation #HealthcareIT #AIinHealthcare", "refusal": null }, "logprobs": null, "finish_reason": "stop" } ], "usage": { "prompt_tokens": 546, "completion_tokens": 125, "total_tokens": 671, "prompt_tokens_details": { "cached_tokens": 0, "audio_tokens": 0 }, "completion_tokens_details": { "reasoning_tokens": 0, "audio_tokens": 0, "accepted_prediction_tokens": 0, "rejected_prediction_tokens": 0 } }, "system_fingerprint": "fp_3de1288069" } Prompt Tokens - 546 |
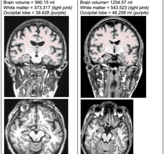
Research Reveals Link Between Type 2 Diabetes and Brain AgingHIT Consultant - (Thursday December 5, 2024) - Frequent Updates/ HIT Consultant | |
![]() | What You Should Know: – Prenuvo, a provider of proactive whole-body MRI scans, has presented groundbreaking research at the Radiological Society of North America (RSNA) 2024 Annual Meeting, revealing a significant link between Type 2... Groundbreaking research presented by Prenuvo at RSNA 2024 reveals a significant link between Type 2 diabetes and brain volume loss. Analyzing over 650 participants, the study highlights that diabetes is associated with reduced white matter in the occipital lobe, raising concerns about cognitive decline. This underscores the need for comprehensive screening beyond traditional tests to enhance early intervention strategies. As we uncover these critical insights, it's vital for healthcare IT professionals to integrate advanced imaging technologies and AI-driven analysis into patient care to improve outcomes.#HealthcareIT #DiabetesResearch #BrainHealth #MRI #ArtificialIntelligence #CognitiveDecline #PatientCare As a healthcare IT expert, write a 100-word extractive summarization based on a blog post from the given text for posting on LinkedIn. The summary should capture key ideas from the entire post and its headings while staying focused, clear, and engaging. Use 5-7 relevant and popular online hashtags that are most likely to drive visibility and engagement. Avoid adding URLs or calls to action, and ensure the language is optimized for LinkedIn engagement style with a variable potential hook or attention-grabbing statement. The target audience is other healthcare IT professionals. Following is the title and text. { "id": "chatcmpl-Ab4pBYobtmzGQhVsQXC8VTDgbPniD", "object": "chat.completion", "created": 1733400045, "model": "gpt-4o-mini-2024-07-18", "choices": [ { "index": 0, "message": { "role": "assistant", "content": "Groundbreaking research presented by Prenuvo at RSNA 2024 reveals a significant link between Type 2 diabetes and brain volume loss. Analyzing over 650 participants, the study highlights that diabetes is associated with reduced white matter in the occipital lobe, raising concerns about cognitive decline. This underscores the need for comprehensive screening beyond traditional tests to enhance early intervention strategies. As we uncover these critical insights, it's vital for healthcare IT professionals to integrate advanced imaging technologies and AI-driven analysis into patient care to improve outcomes. nn#HealthcareIT #DiabetesResearch #BrainHealth #MRI #ArtificialIntelligence #CognitiveDecline #PatientCare", "refusal": null }, "logprobs": null, "finish_reason": "stop" } ], "usage": { "prompt_tokens": 487, "completion_tokens": 130, "total_tokens": 617, "prompt_tokens_details": { "cached_tokens": 0, "audio_tokens": 0 }, "completion_tokens_details": { "reasoning_tokens": 0, "audio_tokens": 0, "accepted_prediction_tokens": 0, "rejected_prediction_tokens": 0 } }, "system_fingerprint": "fp_3de1288069" } Prompt Tokens - 487 |
Two more Liverpool hospitals impacted by Alder Hey cyber attackDigital Health - (Thursday December 5, 2024) - Digital Health/ Frequent Updates | |
![]() | Alder Hey Children’s NHS Foundation Trust has announced that the cyber attack it suffered on 28 November 2024 has also impacted Liverpool Heart and Chest Hospital and Royal Liverpool University Hospital. Alder Hey was hit... The recent cyber attack on Alder Hey Children’s NHS Foundation Trust has extended its impact to Liverpool Heart and Chest Hospital and Royal Liverpool University Hospital, exposing sensitive data. The breach, attributed to a shared digital gateway, has raised alarms about the security of NHS systems. Dr. Saif Abed emphasizes the urgent need for enhanced cyber-resiliency and stricter government regulations to protect patient safety. As cyber threats escalate, healthcare leaders must prioritize cybersecurity to prevent significant harm.#Cybersecurity #HealthcareIT #DataBreach #NHS #PatientSafety #CyberResilience #HealthTech As a healthcare IT expert, write a 100-word extractive summarization based on a blog post from the given text for posting on LinkedIn. The summary should capture key ideas from the entire post and its headings while staying focused, clear, and engaging. Use 5-7 relevant and popular online hashtags that are most likely to drive visibility and engagement. Avoid adding URLs or calls to action, and ensure the language is optimized for LinkedIn engagement style with a variable potential hook or attention-grabbing statement. The target audience is other healthcare IT professionals. Following is the title and text. { "id": "chatcmpl-Ab5giiyUztG1j4S9O1Q8AzMeoGaDi", "object": "chat.completion", "created": 1733403364, "model": "gpt-4o-mini-2024-07-18", "choices": [ { "index": 0, "message": { "role": "assistant", "content": "The recent cyber attack on Alder Hey Children’s NHS Foundation Trust has extended its impact to Liverpool Heart and Chest Hospital and Royal Liverpool University Hospital, exposing sensitive data. The breach, attributed to a shared digital gateway, has raised alarms about the security of NHS systems. Dr. Saif Abed emphasizes the urgent need for enhanced cyber-resiliency and stricter government regulations to protect patient safety. As cyber threats escalate, healthcare leaders must prioritize cybersecurity to prevent significant harm. nn#Cybersecurity #HealthcareIT #DataBreach #NHS #PatientSafety #CyberResilience #HealthTech", "refusal": null }, "logprobs": null, "finish_reason": "stop" } ], "usage": { "prompt_tokens": 741, "completion_tokens": 117, "total_tokens": 858, "prompt_tokens_details": { "cached_tokens": 0, "audio_tokens": 0 }, "completion_tokens_details": { "reasoning_tokens": 0, "audio_tokens": 0, "accepted_prediction_tokens": 0, "rejected_prediction_tokens": 0 } }, "system_fingerprint": "fp_3de1288069" } Prompt Tokens - 741 |
Predicting future fallers in Parkinson’s disease using kinematic data over a period of 5 yearsnpj Digital Medicine - (Thursday December 5, 2024) - AI/ Frequent Updates/ npj Digital Medicine | |
![]() | Parkinson’s disease (PD) increases fall risk, leading to injuries and reduced quality of life. Accurate fall risk assessment is crucial for effective care planning. Traditional assessments are subjective and time-consuming, while recent assessment methods... Predicting falls in Parkinson’s disease (PD) is crucial for enhancing patient care. A recent study utilized kinematic data from wearable sensors over five years to identify future fallers. Analyzing data from 104 participants, the Random Forest classifier achieved 78% accuracy at the 60-month mark, with key predictors being walking and postural variability. Notably, incorporating age and clinicodemographic data improved model performance. This innovative approach highlights the potential of machine learning and wearable technology in proactive PD management, paving the way for tailored fall prevention strategies.#HealthcareIT #ParkinsonsDisease #MachineLearning #WearableTech #FallPrevention #DigitalHealth #Neurology As a healthcare IT expert, write a 100-word extractive summarization based on a blog post from the given text for posting on LinkedIn. The summary should capture key ideas from the entire post and its headings while staying focused, clear, and engaging. Use 5-7 relevant and popular online hashtags that are most likely to drive visibility and engagement. Avoid adding URLs or calls to action, and ensure the language is optimized for LinkedIn engagement style with a variable potential hook or attention-grabbing statement. The target audience is other healthcare IT professionals. Following is the title and text. { "id": "chatcmpl-Ab4orBUXQLujLGFehjKgL8GS6WImp", "object": "chat.completion", "created": 1733400025, "model": "gpt-4o-mini-2024-07-18", "choices": [ { "index": 0, "message": { "role": "assistant", "content": "Predicting falls in Parkinson’s disease (PD) is crucial for enhancing patient care. A recent study utilized kinematic data from wearable sensors over five years to identify future fallers. Analyzing data from 104 participants, the Random Forest classifier achieved 78% accuracy at the 60-month mark, with key predictors being walking and postural variability. Notably, incorporating age and clinicodemographic data improved model performance. This innovative approach highlights the potential of machine learning and wearable technology in proactive PD management, paving the way for tailored fall prevention strategies. nn#HealthcareIT #ParkinsonsDisease #MachineLearning #WearableTech #FallPrevention #DigitalHealth #Neurology", "refusal": null }, "logprobs": null, "finish_reason": "stop" } ], "usage": { "prompt_tokens": 25348, "completion_tokens": 137, "total_tokens": 25485, "prompt_tokens_details": { "cached_tokens": 0, "audio_tokens": 0 }, "completion_tokens_details": { "reasoning_tokens": 0, "audio_tokens": 0, "accepted_prediction_tokens": 0, "rejected_prediction_tokens": 0 } }, "system_fingerprint": "fp_3de1288069" } Prompt Tokens - 25348 |
How Pharma Can Enhance Infusion Clinic OperationsHIT Consultant - (Thursday December 5, 2024) - Frequent Updates/ HIT Consultant | |
![]() | Patty Trainor, Sr. Director KS&RInfusion Clinics (ICs) face a delicate balancing act. They must strive for operational excellence while simultaneously navigating the realities of competition, patient care challenges, and compliance requirements. It’s a difficult... Infusion Clinics (ICs) are navigating a complex landscape of operational excellence, patient care, and compliance. Pharmaceutical manufacturers have a vital role in enhancing IC operations by streamlining medication access, simplifying prior authorization processes, and advocating for favorable policies. Key strategies include improving patient experiences through tailored services, integrating AI for scheduling, and fostering communication. By customizing support and facilitating best practice sharing, manufacturers can significantly boost IC efficiency and patient outcomes. Embracing this collaborative mindset not only benefits clinics but also positions manufacturers competitively in the healthcare landscape. #HealthcareIT #InfusionTherapy #PatientExperience #Pharmaceuticals #HealthcareCollaboration #OperationalExcellence #Compliance As a healthcare IT expert, write a 100-word extractive summarization based on a blog post from the given text for posting on LinkedIn. The summary should capture key ideas from the entire post and its headings while staying focused, clear, and engaging. Use 5-7 relevant and popular online hashtags that are most likely to drive visibility and engagement. Avoid adding URLs or calls to action, and ensure the language is optimized for LinkedIn engagement style with a variable potential hook or attention-grabbing statement. The target audience is other healthcare IT professionals. Following is the title and text. { "id": "chatcmpl-Ab4oW9R0HO2Tvtz0ibEvPH3Ew0UzL", "object": "chat.completion", "created": 1733400004, "model": "gpt-4o-mini-2024-07-18", "choices": [ { "index": 0, "message": { "role": "assistant", "content": "Infusion Clinics (ICs) are navigating a complex landscape of operational excellence, patient care, and compliance. Pharmaceutical manufacturers have a vital role in enhancing IC operations by streamlining medication access, simplifying prior authorization processes, and advocating for favorable policies. Key strategies include improving patient experiences through tailored services, integrating AI for scheduling, and fostering communication. By customizing support and facilitating best practice sharing, manufacturers can significantly boost IC efficiency and patient outcomes. Embracing this collaborative mindset not only benefits clinics but also positions manufacturers competitively in the healthcare landscape. #HealthcareIT #InfusionTherapy #PatientExperience #Pharmaceuticals #HealthcareCollaboration #OperationalExcellence #Compliance", "refusal": null }, "logprobs": null, "finish_reason": "stop" } ], "usage": { "prompt_tokens": 1405, "completion_tokens": 133, "total_tokens": 1538, "prompt_tokens_details": { "cached_tokens": 0, "audio_tokens": 0 }, "completion_tokens_details": { "reasoning_tokens": 0, "audio_tokens": 0, "accepted_prediction_tokens": 0, "rejected_prediction_tokens": 0 } }, "system_fingerprint": "fp_3de1288069" } Prompt Tokens - 1405 |
Developing Digitally Competent Healthcare LeadersHIT Consultant - (Thursday December 5, 2024) - Digital Health/ Frequent Updates/ HIT Consultant | |
![]() | Ali Morin, Chief Nursing Informatics Officer at symplrAs technological innovations, AI and challenges in healthcare continue to grow, it’s imperative for healthcare leaders – especially clinical ones – to be digitally competent and step... In an era of rapid technological advancement, healthcare leaders, particularly in nursing, must embrace digital competence to drive transformative change. As AI and virtual nursing reshape care delivery, leaders must champion new technologies and foster a culture of innovation. By integrating digital skills into leadership development, organizations can enhance operational efficiency and improve patient outcomes. The commitment to nurturing digitally savvy leaders is crucial for addressing workforce challenges and ensuring a resilient healthcare system. Embracing these changes will empower clinicians and ultimately lead to better patient care.#HealthcareIT #DigitalTransformation #NursingLeadership #AIinHealthcare #VirtualNursing #HealthTech #InnovationInHealthcare As a healthcare IT expert, write a 100-word extractive summarization based on a blog post from the given text for posting on LinkedIn. The summary should capture key ideas from the entire post and its headings while staying focused, clear, and engaging. Use 5-7 relevant and popular online hashtags that are most likely to drive visibility and engagement. Avoid adding URLs or calls to action, and ensure the language is optimized for LinkedIn engagement style with a variable potential hook or attention-grabbing statement. The target audience is other healthcare IT professionals. Following is the title and text. { "id": "chatcmpl-Ab63yBMXctR5iydoPqkPpD4gOFzsa", "object": "chat.completion", "created": 1733404806, "model": "gpt-4o-mini-2024-07-18", "choices": [ { "index": 0, "message": { "role": "assistant", "content": "In an era of rapid technological advancement, healthcare leaders, particularly in nursing, must embrace digital competence to drive transformative change. As AI and virtual nursing reshape care delivery, leaders must champion new technologies and foster a culture of innovation. By integrating digital skills into leadership development, organizations can enhance operational efficiency and improve patient outcomes. The commitment to nurturing digitally savvy leaders is crucial for addressing workforce challenges and ensuring a resilient healthcare system. Embracing these changes will empower clinicians and ultimately lead to better patient care. nn#HealthcareIT #DigitalTransformation #NursingLeadership #AIinHealthcare #VirtualNursing #HealthTech #InnovationInHealthcare", "refusal": null }, "logprobs": null, "finish_reason": "stop" } ], "usage": { "prompt_tokens": 1836, "completion_tokens": 125, "total_tokens": 1961, "prompt_tokens_details": { "cached_tokens": 0, "audio_tokens": 0 }, "completion_tokens_details": { "reasoning_tokens": 0, "audio_tokens": 0, "accepted_prediction_tokens": 0, "rejected_prediction_tokens": 0 } }, "system_fingerprint": "fp_3de1288069" } Prompt Tokens - 1836 |
Synnovis staff to strike following ‘alarming impact’ of cyber attackDigital Health - (Thursday December 5, 2024) - Digital Health/ Frequent Updates | |
![]() | Laboratory staff working for the NHS pathology supplier hit by a cyber attack which disrupted services across south east London, have announced plans to strike for five days. Trade union Unite said in a press... The recent ransomware attack on Synnovis has led to significant disruptions in NHS pathology services, prompting over 500 staff to vote for a five-day strike starting December 16, 2024. The attack resulted in postponed appointments and heightened pressure on laboratory staff, who faced manual processing challenges without essential systems. Unite's general secretary criticized Synnovis for poor treatment during restructuring and warned that a planned hub move could jeopardize patient safety. Synnovis expressed disappointment over the strike and emphasized its commitment to patient safety and business continuity.#HealthcareIT #CyberSecurity #NHS #Pathology #PatientSafety #LaborRelations #DigitalHealth As a healthcare IT expert, write a 100-word extractive summarization based on a blog post from the given text for posting on LinkedIn. The summary should capture key ideas from the entire post and its headings while staying focused, clear, and engaging. Use 5-7 relevant and popular online hashtags that are most likely to drive visibility and engagement. Avoid adding URLs or calls to action, and ensure the language is optimized for LinkedIn engagement style with a variable potential hook or attention-grabbing statement. The target audience is other healthcare IT professionals. Following is the title and text. { "id": "chatcmpl-Ab3BsmFZiL2r6gvqAk7hsqNS5ThhR", "object": "chat.completion", "created": 1733393764, "model": "gpt-4o-mini-2024-07-18", "choices": [ { "index": 0, "message": { "role": "assistant", "content": "The recent ransomware attack on Synnovis has led to significant disruptions in NHS pathology services, prompting over 500 staff to vote for a five-day strike starting December 16, 2024. The attack resulted in postponed appointments and heightened pressure on laboratory staff, who faced manual processing challenges without essential systems. Unite's general secretary criticized Synnovis for poor treatment during restructuring and warned that a planned hub move could jeopardize patient safety. Synnovis expressed disappointment over the strike and emphasized its commitment to patient safety and business continuity. nn#HealthcareIT #CyberSecurity #NHS #Pathology #PatientSafety #LaborRelations #DigitalHealth", "refusal": null }, "logprobs": null, "finish_reason": "stop" } ], "usage": { "prompt_tokens": 909, "completion_tokens": 128, "total_tokens": 1037, "prompt_tokens_details": { "cached_tokens": 0, "audio_tokens": 0 }, "completion_tokens_details": { "reasoning_tokens": 0, "audio_tokens": 0, "accepted_prediction_tokens": 0, "rejected_prediction_tokens": 0 } }, "system_fingerprint": "fp_3de1288069" } Prompt Tokens - 909 |
Offcall Launches with $2M for Financial & Career Platform for PhysiciansHIT Consultant - (Thursday December 5, 2024) - Digital Health/ Frequent Updates/ HIT Consultant | |
![]() | What You Should Know: – Offcall, a new digital platform designed specifically for physicians, has officially launched to address the growing financial and career challenges faced by doctors across the United States.– Offcall has raised... Exciting news in healthcare IT! Offcall has launched a groundbreaking platform aimed at addressing the financial and career challenges faced by physicians. With $2M in funding from investors like Bloomberg Beta, Offcall offers transparent compensation data, essential financial resources, and a supportive community for doctors. As Dr. Graham Walker highlights, this initiative provides the financial transparency physicians need to make informed career decisions. Offcall is set to expand its offerings, empowering physicians to navigate their careers with confidence.#HealthcareIT #DigitalHealth #PhysicianSupport #FinancialWellness #CareerDevelopment #HealthTech #Innovation As a healthcare IT expert, write a 100-word extractive summarization based on a blog post from the given text for posting on LinkedIn. The summary should capture key ideas from the entire post and its headings while staying focused, clear, and engaging. Use 5-7 relevant and popular online hashtags that are most likely to drive visibility and engagement. Avoid adding URLs or calls to action, and ensure the language is optimized for LinkedIn engagement style with a variable potential hook or attention-grabbing statement. The target audience is other healthcare IT professionals. Following is the title and text. { "id": "chatcmpl-Ab14f2xdqFt03p5vqMYtWKPe0QcWI", "object": "chat.completion", "created": 1733385629, "model": "gpt-4o-mini-2024-07-18", "choices": [ { "index": 0, "message": { "role": "assistant", "content": "Exciting news in healthcare IT! Offcall has launched a groundbreaking platform aimed at addressing the financial and career challenges faced by physicians. With $2M in funding from investors like Bloomberg Beta, Offcall offers transparent compensation data, essential financial resources, and a supportive community for doctors. As Dr. Graham Walker highlights, this initiative provides the financial transparency physicians need to make informed career decisions. Offcall is set to expand its offerings, empowering physicians to navigate their careers with confidence. nn#HealthcareIT #DigitalHealth #PhysicianSupport #FinancialWellness #CareerDevelopment #HealthTech #Innovation", "refusal": null }, "logprobs": null, "finish_reason": "stop" } ], "usage": { "prompt_tokens": 500, "completion_tokens": 118, "total_tokens": 618, "prompt_tokens_details": { "cached_tokens": 0, "audio_tokens": 0 }, "completion_tokens_details": { "reasoning_tokens": 0, "audio_tokens": 0, "accepted_prediction_tokens": 0, "rejected_prediction_tokens": 0 } }, "system_fingerprint": "fp_3de1288069" } Prompt Tokens - 500 |
CoachCare Acquires Revolution Health Solutions – M&AHIT Consultant - (Thursday December 5, 2024) - Digital Health/ Frequent Updates/ HIT Consultant | |
![]() | What You Should Know: – CoachCare, a provider of remote patient monitoring (RPM), chronic care management (CCM), and other virtual care management services, has announced the acquisition of Revolution Health Solutions, a Texas-based care management... 🚀 Exciting news in the healthcare IT space! CoachCare has acquired Revolution Health Solutions, marking its sixth acquisition and strengthening its foothold in the virtual care market. This strategic move enhances CoachCare's offerings in remote patient monitoring (RPM) and chronic care management (CCM), allowing for improved patient outcomes and expanded services. With Revolution's expertise, CoachCare aims to simplify care management and broaden its reach in Texas. This partnership promises to drive innovation and elevate patient experiences.#HealthcareIT #VirtualCare #RemotePatientMonitoring #ChronicCareManagement #HealthTech #PatientOutcomes #Innovation As a healthcare IT expert, write a 100-word extractive summarization based on a blog post from the given text for posting on LinkedIn. The summary should capture key ideas from the entire post and its headings while staying focused, clear, and engaging. Use 5-7 relevant and popular online hashtags that are most likely to drive visibility and engagement. Avoid adding URLs or calls to action, and ensure the language is optimized for LinkedIn engagement style with a variable potential hook or attention-grabbing statement. The target audience is other healthcare IT professionals. Following is the title and text. { "id": "chatcmpl-Ab14Kxs2oES484XsjSDQ4etP3p8QG", "object": "chat.completion", "created": 1733385608, "model": "gpt-4o-mini-2024-07-18", "choices": [ { "index": 0, "message": { "role": "assistant", "content": "🚀 Exciting news in the healthcare IT space! CoachCare has acquired Revolution Health Solutions, marking its sixth acquisition and strengthening its foothold in the virtual care market. This strategic move enhances CoachCare's offerings in remote patient monitoring (RPM) and chronic care management (CCM), allowing for improved patient outcomes and expanded services. With Revolution's expertise, CoachCare aims to simplify care management and broaden its reach in Texas. This partnership promises to drive innovation and elevate patient experiences. nn#HealthcareIT #VirtualCare #RemotePatientMonitoring #ChronicCareManagement #HealthTech #PatientOutcomes #Innovation", "refusal": null }, "logprobs": null, "finish_reason": "stop" } ], "usage": { "prompt_tokens": 496, "completion_tokens": 121, "total_tokens": 617, "prompt_tokens_details": { "cached_tokens": 0, "audio_tokens": 0 }, "completion_tokens_details": { "reasoning_tokens": 0, "audio_tokens": 0, "accepted_prediction_tokens": 0, "rejected_prediction_tokens": 0 } }, "system_fingerprint": "fp_3de1288069" } Prompt Tokens - 496 |










