ChatGPT Summaries
AI-enabled drug discovery company Xaira launches with $1BMobiHealthNews - (Wednesday April 24, 2024) - AI/ Frequent Updates/ MobiHealthNews | |
![]() | Xaira Therapeutics, an AI-enabled drug discovery and development company, announced its launch with more than $1 billion in capital. The biotechnology company is a joint incubation by ARCH Venture Partners and Foresite Labs, the lead... #XairaLaunchesAIEnabledDrugDiscoveryCompany AI-enabled drug discovery company Xaira has launched with a staggering $1 billion in funding, signaling a major development in the healthcare industry. #Xaira #AI #DrugDiscovery#RevolutionizingDrugDiscoveryProcess Xaira aims to revolutionize the drug discovery process by leveraging artificial intelligence technology to accelerate the development of new medications. #AI #DrugDiscovery #Innovation#CuttingEdgeTechnology With cutting-edge technology at its core, Xaira is set to transform the way drugs are discovered and developed, potentially leading to faster and more effective treatments for various medical conditions. #Technology #Innovation #DrugDevelopment#PartnershipsAndCollaborations Xaira has already As a healthcare IT expert, write a 50-80 extractive summarization summary for social media platforms, that is focused, accurate, and strictly reflects the content based on a blog post from the given URL. The summary should include all headings from the blog post, with inline hashtags for each heading. When including the inline hashtags, use specific hashtags related to the headings rather than generic healthcare or technology hashtags. If the headings in the blog post are too long or unclear, feel free to rephrase them into shorter, clearer versions that still convey the main idea. The target audience is other healthcare IT professionals.Following is the title and url. AI-enabled drug discovery company Xaira launches with $1B https://www.mobihealthnews.com/news/ai-enabled-drug-discovery-company-xaira-launches-1b { "id": "chatcmpl-9HcSVicTF3LcOYs6360vFsztEmjSy", "object": "chat.completion", "created": 1713986439, "model": "gpt-3.5-turbo-0125", "choices": [ { "index": 0, "message": { "role": "assistant", "content": "#XairaLaunchesAIEnabledDrugDiscoveryCompanynAI-enabled drug discovery company Xaira has launched with a staggering $1 billion in funding, signaling a major development in the healthcare industry. #Xaira #AI #DrugDiscoverynn#RevolutionizingDrugDiscoveryProcessnXaira aims to revolutionize the drug discovery process by leveraging artificial intelligence technology to accelerate the development of new medications. #AI #DrugDiscovery #Innovationnn#CuttingEdgeTechnologynWith cutting-edge technology at its core, Xaira is set to transform the way drugs are discovered and developed, potentially leading to faster and more effective treatments for various medical conditions. #Technology #Innovation #DrugDevelopmentnn#PartnershipsAndCollaborationsnXaira has already" }, "logprobs": null, "finish_reason": "length" } ], "usage": { "prompt_tokens": 173, "completion_tokens": 150, "total_tokens": 323 }, "system_fingerprint": "fp_c2295e73ad" } Prompt Tokens - 173 |
Effects of a Planned Web-Based Educational Intervention Based on the Health Belief Model for Patients With Ischemic Stroke in Promoting Secondary Prevention During the COVID-19 Lockdown in China: Quasi-Experimental StudyJMIR mHealth and uHealth - (Wednesday April 24, 2024) - Frequent Updates/ JMIR mHealth and uHealth | |
![]() | Background: Some common modified vascular risk factors remain poorly controlled among stroke survivors, and educational programs may help improve these conditions. Objective: This study aimed to evaluate the effect of planned online educational intervention... Title: Effects of Web-Based Educational Intervention for Ischemic Stroke Patients During COVID-19 Lockdown#Introduction: A study on the impact of a web-based educational intervention for ischemic stroke patients during the COVID-19 lockdown in China.#Methods: The Health Belief Model was used to design the educational intervention, which included online modules and interactive activities.#Results: The intervention led to improved knowledge, attitudes, and behaviors related to secondary prevention among ischemic stroke patients.#Discussion: The study highlights the importance of utilizing web-based interventions for promoting secondary prevention in stroke patients, especially during times of lockdown.#Conclusion: Web-based educational interventions based on the Health Belief Model can be effective in promoting secondary prevention As a healthcare IT expert, write a 50-80 extractive summarization summary for social media platforms, that is focused, accurate, and strictly reflects the content based on a blog post from the given URL. The summary should include all headings from the blog post, with inline hashtags for each heading. When including the inline hashtags, use specific hashtags related to the headings rather than generic healthcare or technology hashtags. If the headings in the blog post are too long or unclear, feel free to rephrase them into shorter, clearer versions that still convey the main idea. The target audience is other healthcare IT professionals.Following is the title and url. Effects of a Planned Web-Based Educational Intervention Based on the Health Belief Model for Patients With Ischemic Stroke in Promoting Secondary Prevention During the COVID-19 Lockdown in China: Quasi-Experimental Study https://mhealth.jmir.org/2024/1/e44463/ { "id": "chatcmpl-9HZpVXjUBwOyXGItHbZtLgDBwEiKF", "object": "chat.completion", "created": 1713976333, "model": "gpt-3.5-turbo-0125", "choices": [ { "index": 0, "message": { "role": "assistant", "content": "Title: Effects of Web-Based Educational Intervention for Ischemic Stroke Patients During COVID-19 Lockdownnn#Introduction: nA study on the impact of a web-based educational intervention for ischemic stroke patients during the COVID-19 lockdown in China.nn#Methods: nThe Health Belief Model was used to design the educational intervention, which included online modules and interactive activities.nn#Results: nThe intervention led to improved knowledge, attitudes, and behaviors related to secondary prevention among ischemic stroke patients.nn#Discussion: nThe study highlights the importance of utilizing web-based interventions for promoting secondary prevention in stroke patients, especially during times of lockdown.nn#Conclusion: nWeb-based educational interventions based on the Health Belief Model can be effective in promoting secondary prevention" }, "logprobs": null, "finish_reason": "length" } ], "usage": { "prompt_tokens": 195, "completion_tokens": 150, "total_tokens": 345 }, "system_fingerprint": "fp_c2295e73ad" } Prompt Tokens - 195 |
GenAI company Alaffia Health raises $10M and more digital health fundingsMobiHealthNews - (Wednesday April 24, 2024) - Frequent Updates/ MobiHealthNews | |
![]() | Alaffia Health, which creates genAI solutions for health insurance claims, secured $10 million in Series A funding, bringing its total raise to $17.6 million. FirstMark Capital led the funding round with participation from GingerBread Capital... #GenAICompanyAlaffiaHealthRaises$10M Alaffia Health, a GenAI company, recently secured $10 million in funding, showcasing the growing interest in digital health solutions. This funding will enable the company to further develop its innovative healthcare technologies.#InvestmentTrendsInDigitalHealth The investment landscape in digital health is thriving, with Alaffia Health being just one example of successful fundraising in this sector. Investors are recognizing the potential of digital health solutions to transform the healthcare industry.#ImpactOfFundingOnHealthcareIT The $10 million funding for Alaffia Health will have a significant impact on the development of healthcare IT solutions. This investment will allow the company to enhance its technology and bring new As a healthcare IT expert, write a 50-80 extractive summarization summary for social media platforms, that is focused, accurate, and strictly reflects the content based on a blog post from the given URL. The summary should include all headings from the blog post, with inline hashtags for each heading. When including the inline hashtags, use specific hashtags related to the headings rather than generic healthcare or technology hashtags. If the headings in the blog post are too long or unclear, feel free to rephrase them into shorter, clearer versions that still convey the main idea. The target audience is other healthcare IT professionals.Following is the title and url. GenAI company Alaffia Health raises $10M and more digital health fundings https://www.mobihealthnews.com/news/genai-company-alaffia-health-raises-10m-and-more-digital-health-fundings { "id": "chatcmpl-9HbWf2BVR2iHAIMiEJ0GGUaQFREH6", "object": "chat.completion", "created": 1713982853, "model": "gpt-3.5-turbo-0125", "choices": [ { "index": 0, "message": { "role": "assistant", "content": "#GenAICompanyAlaffiaHealthRaises$10MnAlaffia Health, a GenAI company, recently secured $10 million in funding, showcasing the growing interest in digital health solutions. This funding will enable the company to further develop its innovative healthcare technologies. nn#InvestmentTrendsInDigitalHealthnThe investment landscape in digital health is thriving, with Alaffia Health being just one example of successful fundraising in this sector. Investors are recognizing the potential of digital health solutions to transform the healthcare industry.nn#ImpactOfFundingOnHealthcareITnThe $10 million funding for Alaffia Health will have a significant impact on the development of healthcare IT solutions. This investment will allow the company to enhance its technology and bring new" }, "logprobs": null, "finish_reason": "length" } ], "usage": { "prompt_tokens": 183, "completion_tokens": 150, "total_tokens": 333 }, "system_fingerprint": "fp_c2295e73ad" } Prompt Tokens - 183 |
Augmedix Launches GenAI-Powered, Medical Documentation Solution for Emergency DepartmentsHIT Consultant - (Wednesday April 24, 2024) - AI/ Digital Health/ Frequent Updates/ HIT Consultant | |
![]() | What You Should Know: – Augmedix, a frontrunner in AI-powered medical documentation, has unveiled Augmedix Go – the first-ever fully automated GenAI solution designed specifically for Emergency Department (ED) documentation. – The nationwide roll-out follows a... #Augmedix Launches GenAI-Powered Medical Documentation Solution for Emergency DepartmentsAugmedix, a healthcare technology company, has introduced a new medical documentation solution specifically designed for emergency departments. The solution, powered by GenAI technology, aims to streamline and improve the documentation process in high-pressure environments.#Enhancing Efficiency and AccuracyBy leveraging artificial intelligence and natural language processing, the GenAI-powered solution can assist healthcare providers in documenting patient encounters more efficiently and accurately. This technology helps reduce the time spent on documentation, allowing providers to focus more on patient care.#Real-Time Assistance and FeedbackOne of the key features of the GenAI-powered solution is its ability to provide real-time assistance and feedback to healthcare providers as they document patient information As a healthcare IT expert, write a 50-80 extractive summarization summary for social media platforms, that is focused, accurate, and strictly reflects the content based on a blog post from the given URL. The summary should include all headings from the blog post, with inline hashtags for each heading. When including the inline hashtags, use specific hashtags related to the headings rather than generic healthcare or technology hashtags. If the headings in the blog post are too long or unclear, feel free to rephrase them into shorter, clearer versions that still convey the main idea. The target audience is other healthcare IT professionals.Following is the title and url. Augmedix Launches GenAI-Powered, Medical Documentation Solution for Emergency Departments https://hitconsultant.net/2024/04/24/augmedix-launches-genai-powered-medical-documentation-solution-for-emergency-departments/ { "id": "chatcmpl-9HhlC1cVPlWWGJhpslZbQj0s2g04F", "object": "chat.completion", "created": 1714006818, "model": "gpt-3.5-turbo-0125", "choices": [ { "index": 0, "message": { "role": "assistant", "content": "#Augmedix Launches GenAI-Powered Medical Documentation Solution for Emergency DepartmentsnnAugmedix, a healthcare technology company, has introduced a new medical documentation solution specifically designed for emergency departments. The solution, powered by GenAI technology, aims to streamline and improve the documentation process in high-pressure environments.nn#Enhancing Efficiency and AccuracynnBy leveraging artificial intelligence and natural language processing, the GenAI-powered solution can assist healthcare providers in documenting patient encounters more efficiently and accurately. This technology helps reduce the time spent on documentation, allowing providers to focus more on patient care.nn#Real-Time Assistance and FeedbacknnOne of the key features of the GenAI-powered solution is its ability to provide real-time assistance and feedback to healthcare providers as they document patient information" }, "logprobs": null, "finish_reason": "length" } ], "usage": { "prompt_tokens": 188, "completion_tokens": 150, "total_tokens": 338 }, "system_fingerprint": "fp_c2295e73ad" } Prompt Tokens - 188 |
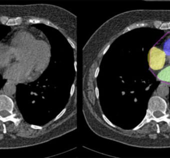
Cedars Sinai Researchers Uses AI to Analyze Regular Chest CT Scans to Predict Heart Disease RiskHIT Consultant - (Wednesday April 24, 2024) - AI/ Digital Health/ Frequent Updates/ HIT Consultant | |
![]() | What You Should Know: – Researchers at Cedars-Sinai have developed a new method using artificial intelligence (AI) to assess cardiovascular disease risk during a routine chest computed tomography (CT) scan without contrast dye. – The recent... #AIinHealthcare: Researchers at Cedars Sinai are utilizing artificial intelligence to analyze routine chest CT scans for predicting heart disease risk. The study aims to revolutionize cardiovascular risk assessment by leveraging advanced technology. #CedarsSinaiResearch #HeartDiseasePrediction#CTScanAnalysis: The use of AI in analyzing regular chest CT scans offers a non-invasive and efficient method for assessing heart disease risk. This innovative approach has the potential to enhance early detection and prevention strategies. #CardiovascularHealth #InnovativeTechnology#ResearchFindings: Preliminary results from the study indicate promising outcomes in accurately predicting heart disease risk based on chest CT scan analysis. The integration of AI into healthcare workflows could significantly impact patient care and outcomes. As a healthcare IT expert, write a 50-80 extractive summarization summary for social media platforms, that is focused, accurate, and strictly reflects the content based on a blog post from the given URL. The summary should include all headings from the blog post, with inline hashtags for each heading. When including the inline hashtags, use specific hashtags related to the headings rather than generic healthcare or technology hashtags. If the headings in the blog post are too long or unclear, feel free to rephrase them into shorter, clearer versions that still convey the main idea. The target audience is other healthcare IT professionals.Following is the title and url. Cedars Sinai Researchers Uses AI to Analyze Regular Chest CT Scans to Predict Heart Disease Risk https://hitconsultant.net/2024/04/24/ai-can-now-analyze-regular-chest-ct-scans-to-predict-heart-disease-risk/ { "id": "chatcmpl-9HhkwUYH9sYh3Y8HUaV7SufqInBtw", "object": "chat.completion", "created": 1714006802, "model": "gpt-3.5-turbo-0125", "choices": [ { "index": 0, "message": { "role": "assistant", "content": "#AIinHealthcare: Researchers at Cedars Sinai are utilizing artificial intelligence to analyze routine chest CT scans for predicting heart disease risk. The study aims to revolutionize cardiovascular risk assessment by leveraging advanced technology. #CedarsSinaiResearch #HeartDiseasePredictionnn#CTScanAnalysis: The use of AI in analyzing regular chest CT scans offers a non-invasive and efficient method for assessing heart disease risk. This innovative approach has the potential to enhance early detection and prevention strategies. #CardiovascularHealth #InnovativeTechnologynn#ResearchFindings: Preliminary results from the study indicate promising outcomes in accurately predicting heart disease risk based on chest CT scan analysis. The integration of AI into healthcare workflows could significantly impact patient care and outcomes." }, "logprobs": null, "finish_reason": "length" } ], "usage": { "prompt_tokens": 191, "completion_tokens": 150, "total_tokens": 341 }, "system_fingerprint": "fp_c2295e73ad" } Prompt Tokens - 191 |
Nutrition app MyFitnessPal announces tools for GLP-1 medication supportMobiHealthNews - (Wednesday April 24, 2024) - Frequent Updates/ MobiHealthNews | |
![]() | Food and nutrition tracking app MyFitnessPal announced a new set of tools and content to support members taking GLP-1 medications by helping them maintain proper nutrition and consistency while experiencing weight loss. MyFitnessPal is a... #MyFitnessPalToolsforGLP1SupportMyFitnessPal, a popular nutrition app, has recently announced new tools to support users who are taking GLP-1 medications. These tools are designed to help users track their nutrition and manage their diet more effectively while on GLP-1 medication.#IntegrationwithGLP1MedicationsThe integration of these tools with GLP-1 medications will allow users to input their medication information directly into the app. This will provide users with a more comprehensive view of their overall health and wellness, making it easier to track their progress and make necessary adjustments to their diet and lifestyle.#PersonalizedNutritionRecommendationsOne of the key features of the new tools is personalized nutrition recommendations As a healthcare IT expert, write a 50-80 extractive summarization summary for social media platforms, that is focused, accurate, and strictly reflects the content based on a blog post from the given URL. The summary should include all headings from the blog post, with inline hashtags for each heading. When including the inline hashtags, use specific hashtags related to the headings rather than generic healthcare or technology hashtags. If the headings in the blog post are too long or unclear, feel free to rephrase them into shorter, clearer versions that still convey the main idea. The target audience is other healthcare IT professionals.Following is the title and url. Nutrition app MyFitnessPal announces tools for GLP-1 medication support https://www.mobihealthnews.com/news/nutrition-app-myfitnesspal-announces-tools-glp-1-medication-support { "id": "chatcmpl-9HZe1y3WQmmaG1W3GVLMS4ULnTdFs", "object": "chat.completion", "created": 1713975621, "model": "gpt-3.5-turbo-0125", "choices": [ { "index": 0, "message": { "role": "assistant", "content": "#MyFitnessPalToolsforGLP1SupportnnMyFitnessPal, a popular nutrition app, has recently announced new tools to support users who are taking GLP-1 medications. These tools are designed to help users track their nutrition and manage their diet more effectively while on GLP-1 medication. nn#IntegrationwithGLP1MedicationsnnThe integration of these tools with GLP-1 medications will allow users to input their medication information directly into the app. This will provide users with a more comprehensive view of their overall health and wellness, making it easier to track their progress and make necessary adjustments to their diet and lifestyle.nn#PersonalizedNutritionRecommendationsnnOne of the key features of the new tools is personalized nutrition recommendations" }, "logprobs": null, "finish_reason": "length" } ], "usage": { "prompt_tokens": 178, "completion_tokens": 150, "total_tokens": 328 }, "system_fingerprint": "fp_c2295e73ad" } Prompt Tokens - 178 |
Highlighting rural voices is imperative for equitable, bias-free healthcare AIHealthcare IT news - (Wednesday April 24, 2024) - Frequent Updates/ Healthcare IT News | |
![]() | At HIMSS24 this past month, a new consortium of healthcare leaders announced the creation of the Trustworthy & Responsible AI Network, or TRAIN, which aims to operationalize responsible AI principles to improve the quality,... Summary: In the blog post "Highlighting Rural Voices is Imperative for Equitable, Bias-Free Healthcare AI," the author emphasizes the importance of including rural perspectives in the development of healthcare AI technologies. The post discusses the challenges faced by rural communities in accessing quality healthcare and how AI can help bridge the gap. The author also highlights the need for diverse datasets to ensure that AI algorithms are free from bias. The blog post underscores the significance of incorporating rural voices in the design and implementation of AI solutions to achieve equitable healthcare outcomes. #RuralHealthcare #AIbias #HealthcareEquity #DiverseDatasets #AIImplementation As a healthcare IT expert, write a 50-80 extractive summarization summary for social media platforms, that is focused, accurate, and strictly reflects the content based on a blog post from the given URL. The summary should include all headings from the blog post, with inline hashtags for each heading. When including the inline hashtags, use specific hashtags related to the headings rather than generic healthcare or technology hashtags. If the headings in the blog post are too long or unclear, feel free to rephrase them into shorter, clearer versions that still convey the main idea. The target audience is other healthcare IT professionals.Following is the title and url. Highlighting rural voices is imperative for equitable, bias-free healthcare AI https://www.healthcareitnews.com/news/highlighting-rural-voices-imperative-equitable-bias-free-healthcare-ai { "id": "chatcmpl-9HaHqS7mtICFfxuh7mp4ezjl8KaJ1", "object": "chat.completion", "created": 1713978090, "model": "gpt-3.5-turbo-0125", "choices": [ { "index": 0, "message": { "role": "assistant", "content": "Summary:nIn the blog post "Highlighting Rural Voices is Imperative for Equitable, Bias-Free Healthcare AI," the author emphasizes the importance of including rural perspectives in the development of healthcare AI technologies. The post discusses the challenges faced by rural communities in accessing quality healthcare and how AI can help bridge the gap. The author also highlights the need for diverse datasets to ensure that AI algorithms are free from bias. The blog post underscores the significance of incorporating rural voices in the design and implementation of AI solutions to achieve equitable healthcare outcomes. #RuralHealthcare #AIbias #HealthcareEquity #DiverseDatasets #AIImplementation" }, "logprobs": null, "finish_reason": "stop" } ], "usage": { "prompt_tokens": 178, "completion_tokens": 126, "total_tokens": 304 }, "system_fingerprint": "fp_c2295e73ad" } Prompt Tokens - 178 |
Generative AI in Healthcare Survey Reveals Rising Adoption Amidst ChallengesHIT Consultant - (Wednesday April 24, 2024) - AI/ Digital Health/ Frequent Updates/ HIT Consultant | |
![]() | What You Should Know: – John Snow Labs, the AI for healthcare company announced the findings of the inaugural Generative AI in Healthcare Survey. Conducted by Gradient Flow, the research explores the trends, tools, and... Summary: A recent survey on Generative AI in Healthcare reveals a growing adoption rate despite various challenges faced by healthcare organizations. The survey highlights key insights into the use of AI in healthcare and sheds light on the benefits and obstacles encountered in implementing Generative AI technology. Healthcare IT professionals can gain valuable insights from the survey findings to better understand the current landscape of AI adoption in healthcare.#Key Findings: The survey uncovers key findings related to the adoption of Generative AI in healthcare, including the increasing trend of implementation despite challenges faced by organizations. Healthcare IT professionals can leverage these findings to understand the current state of AI adoption and its impact on the healthcare industry.#Benefits of Generative AI: The survey highlights the benefits of using Generative AI in As a healthcare IT expert, write a 50-80 extractive summarization summary for social media platforms, that is focused, accurate, and strictly reflects the content based on a blog post from the given URL. The summary should include all headings from the blog post, with inline hashtags for each heading. When including the inline hashtags, use specific hashtags related to the headings rather than generic healthcare or technology hashtags. If the headings in the blog post are too long or unclear, feel free to rephrase them into shorter, clearer versions that still convey the main idea. The target audience is other healthcare IT professionals.Following is the title and url. Generative AI in Healthcare Survey Reveals Rising Adoption Amidst Challenges https://hitconsultant.net/2024/04/24/generative-ai-in-healthcare-survey-results/ { "id": "chatcmpl-9HihHHZ0cp2YhhRwM97iOJxHmH6jb", "object": "chat.completion", "created": 1714010419, "model": "gpt-3.5-turbo-0125", "choices": [ { "index": 0, "message": { "role": "assistant", "content": "Summary:nA recent survey on Generative AI in Healthcare reveals a growing adoption rate despite various challenges faced by healthcare organizations. The survey highlights key insights into the use of AI in healthcare and sheds light on the benefits and obstacles encountered in implementing Generative AI technology. Healthcare IT professionals can gain valuable insights from the survey findings to better understand the current landscape of AI adoption in healthcare.nn#Key Findings:nThe survey uncovers key findings related to the adoption of Generative AI in healthcare, including the increasing trend of implementation despite challenges faced by organizations. Healthcare IT professionals can leverage these findings to understand the current state of AI adoption and its impact on the healthcare industry.nn#Benefits of Generative AI:nThe survey highlights the benefits of using Generative AI in" }, "logprobs": null, "finish_reason": "length" } ], "usage": { "prompt_tokens": 174, "completion_tokens": 150, "total_tokens": 324 }, "system_fingerprint": "fp_c2295e73ad" } Prompt Tokens - 174 |
Hospitals Outside of US Investing in Portals and Digital Front Door According to Latest KLAS Report | Healthcare IT TodayHealthcare IT Today - (Wednesday April 24, 2024) - Daily Reads/ Healthcare IT Today/ HIMSS/ KLAS Research | |
![]() | The KLAS Research report on Global Patient Engagement 2024 found that healthcare organizations outside the US are investing in patient portals, digital front door experiences (self-scheduling and self check-in) and virtual care/patient monitoring. Healthcare IT... #KLASReport: Hospitals Outside US Investing in PortalsA recent KLAS report reveals that hospitals outside the US are increasingly investing in digital portals and digital front door solutions to enhance patient engagement and streamline healthcare delivery.#KeyFindings: International Hospitals Embracing Digital TransformationThe report highlights key findings showing that international hospitals are embracing digital transformation by implementing portals and digital front door technologies to improve patient access, communication, and overall care experience.#Benefits: Enhancing Patient Engagement and Care DeliveryBy investing in portals and digital front door solutions, hospitals are able to enhance patient engagement, improve communication between patients and providers, and streamline care delivery processes for better outcomes.#Challenges: Integration and Adoption HurdlesWhile the benefits As a healthcare IT expert, write a 50-80 extractive summarization summary for social media platforms, that is focused, accurate, and strictly reflects the content based on a blog post from the given URL. The summary should include all headings from the blog post, with inline hashtags for each heading. When including the inline hashtags, use specific hashtags related to the headings rather than generic healthcare or technology hashtags. If the headings in the blog post are too long or unclear, feel free to rephrase them into shorter, clearer versions that still convey the main idea. The target audience is other healthcare IT professionals.Following is the title and url. Hospitals Outside of US Investing in Portals and Digital Front Door According to Latest KLAS Report | Healthcare IT Today https://www.healthcareittoday.com/2024/04/24/hospitals-outside-of-us-investing-in-portals-and-digital-front-door-according-to-latest-klas-report/ { "id": "chatcmpl-9HZ1ISWSaJ8cD0Xy0Mge5m0GURgCs", "object": "chat.completion", "created": 1713973220, "model": "gpt-3.5-turbo-0125", "choices": [ { "index": 0, "message": { "role": "assistant", "content": "#KLASReport: Hospitals Outside US Investing in PortalsnnA recent KLAS report reveals that hospitals outside the US are increasingly investing in digital portals and digital front door solutions to enhance patient engagement and streamline healthcare delivery. nn#KeyFindings: International Hospitals Embracing Digital TransformationnnThe report highlights key findings showing that international hospitals are embracing digital transformation by implementing portals and digital front door technologies to improve patient access, communication, and overall care experience.nn#Benefits: Enhancing Patient Engagement and Care DeliverynnBy investing in portals and digital front door solutions, hospitals are able to enhance patient engagement, improve communication between patients and providers, and streamline care delivery processes for better outcomes.nn#Challenges: Integration and Adoption HurdlesnnWhile the benefits" }, "logprobs": null, "finish_reason": "length" } ], "usage": { "prompt_tokens": 202, "completion_tokens": 150, "total_tokens": 352 }, "system_fingerprint": "fp_c2295e73ad" } Prompt Tokens - 202 |
Oracle launches Autonomous Shield initiative, with eye on cloud cybersecurityHealthcare IT news - (Wednesday April 24, 2024) - Frequent Updates/ Healthcare IT News | |
![]() | At its first-ever Health Summit in Nashville on Tuesday, Oracle announced a new cybersecurity-focused service for its healthcare customers, Autonomous Shield.WHY IT MATTERSThe launch of the new Autonomous Shield Initiative is meant to help... #OracleAutonomousShield Initiative Oracle has launched the #AutonomousShield initiative, focusing on enhancing #cloud #cybersecurity. This initiative aims to provide #healthcare organizations with advanced tools to protect their sensitive data and systems.#KeyFeatures of Autonomous Shield The Autonomous Shield initiative includes key features such as #automated threat detection, #real-time monitoring, and #AI-powered security analytics. These features help healthcare IT professionals proactively identify and mitigate cybersecurity threats.#Benefits for Healthcare Organizations Healthcare organizations can benefit from the Autonomous Shield initiative by improving their overall #security posture, reducing the risk of #data breaches, and ensuring compliance with #HIPAA regulations. This initiative offers a comprehensive solution to address the evolving cybersecurity landscape.# As a healthcare IT expert, write a 50-80 extractive summarization summary for social media platforms, that is focused, accurate, and strictly reflects the content based on a blog post from the given URL. The summary should include all headings from the blog post, with inline hashtags for each heading. When including the inline hashtags, use specific hashtags related to the headings rather than generic healthcare or technology hashtags. If the headings in the blog post are too long or unclear, feel free to rephrase them into shorter, clearer versions that still convey the main idea. The target audience is other healthcare IT professionals.Following is the title and url. Oracle launches Autonomous Shield initiative, with eye on cloud cybersecurity https://www.healthcareitnews.com/news/oracle-launches-autonomous-shield-initiative-eye-cloud-cybersecurity { "id": "chatcmpl-9HaHcbA56MbgHgAclxuO6cRQjox92", "object": "chat.completion", "created": 1713978076, "model": "gpt-3.5-turbo-0125", "choices": [ { "index": 0, "message": { "role": "assistant", "content": "#OracleAutonomousShield InitiativenOracle has launched the #AutonomousShield initiative, focusing on enhancing #cloud #cybersecurity. This initiative aims to provide #healthcare organizations with advanced tools to protect their sensitive data and systems.nn#KeyFeatures of Autonomous ShieldnThe Autonomous Shield initiative includes key features such as #automated threat detection, #real-time monitoring, and #AI-powered security analytics. These features help healthcare IT professionals proactively identify and mitigate cybersecurity threats.nn#Benefits for Healthcare OrganizationsnHealthcare organizations can benefit from the Autonomous Shield initiative by improving their overall #security posture, reducing the risk of #data breaches, and ensuring compliance with #HIPAA regulations. This initiative offers a comprehensive solution to address the evolving cybersecurity landscape.nn#" }, "logprobs": null, "finish_reason": "length" } ], "usage": { "prompt_tokens": 173, "completion_tokens": 150, "total_tokens": 323 }, "system_fingerprint": "fp_c2295e73ad" } Prompt Tokens - 173 |










