ChatGPT Summaries
Vitable Secures $16M To Provide Primary Care to Small Employers – MedCity NewsMedCity News - (Tuesday July 23, 2024) - Frequent Updates/ MedCity News | |
![]() | Direct primary care company Vitable has raised $16 million in Series A funding, which it will use to expand into new markets, the startup announced Friday.Philadelphia-based Vitable works with small to medium-sized businesses that... #VitableSecuresFunding Vitable, a primary care provider, has secured $16 million in funding to offer services to small employers. This funding will help Vitable expand its reach and provide quality healthcare to more individuals. #PrimaryCareExpansion#FocusonPreventiveCare Vitable focuses on preventive care, offering services such as wellness exams, screenings, and vaccinations. By prioritizing preventive care, Vitable aims to keep individuals healthy and reduce the need for costly treatments down the line. #PreventiveHealthcare#TelehealthServices Vitable offers telehealth services, allowing individuals to access care from the comfort of their own homes. This convenient option makes it easier for individuals to prioritize their health and seek care As a healthcare IT expert, write a 50-80 extractive summarization summary for social media platforms, that is focused, accurate, and strictly reflects the content based on a blog post from the given URL. The summary should include all headings from the blog post, with inline hashtags for each heading. When including the inline hashtags, use specific hashtags related to the headings rather than generic healthcare or technology hashtags. If the headings in the blog post are too long or unclear, feel free to rephrase them into shorter, clearer versions that still convey the main idea. The target audience is other healthcare IT professionals.Following is the title and url. Vitable Secures $16M To Provide Primary Care to Small Employers – MedCity News https://medcitynews.com/2024/07/vitable-secures-16m-to-provide-primary-care-to-small-employers/ { "id": "chatcmpl-9nvgYRYm3HiwTz3x8XLArAbl1G5YM", "object": "chat.completion", "created": 1721686842, "model": "gpt-3.5-turbo-0125", "choices": [ { "index": 0, "message": { "role": "assistant", "content": "#VitableSecuresFundingnVitable, a primary care provider, has secured $16 million in funding to offer services to small employers. This funding will help Vitable expand its reach and provide quality healthcare to more individuals. #PrimaryCareExpansionnn#FocusonPreventiveCarenVitable focuses on preventive care, offering services such as wellness exams, screenings, and vaccinations. By prioritizing preventive care, Vitable aims to keep individuals healthy and reduce the need for costly treatments down the line. #PreventiveHealthcarenn#TelehealthServicesnVitable offers telehealth services, allowing individuals to access care from the comfort of their own homes. This convenient option makes it easier for individuals to prioritize their health and seek care" }, "logprobs": null, "finish_reason": "length" } ], "usage": { "prompt_tokens": 189, "completion_tokens": 150, "total_tokens": 339 }, "system_fingerprint": null } Prompt Tokens - 189 |
Hinge Health partners with employee benefits company Sun LifeMobiHealthNews - (Tuesday July 23, 2024) - Frequent Updates/ MobiHealthNews | |
![]() | Employee and government benefits organization Sun Life announced it is partnering with Hinge Health to provide its members with digital access to technology and clinicians for musculoskeletal care. Hinge Health, founded in 2015, provides individuals... Title: Hinge Health partners with Sun Life for employee benefits #HingeHealth #SunLifeHinge Health, a digital health company focused on musculoskeletal conditions, has partnered with Sun Life, an employee benefits provider, to offer their digital health solutions to Sun Life's clients. #DigitalHealth #MusculoskeletalConditionsThe partnership aims to provide Sun Life's clients with access to Hinge Health's virtual physical therapy and coaching programs, which have been shown to improve outcomes for individuals with chronic musculoskeletal conditions. #VirtualPhysicalTherapy #CoachingProgramsSun Life's clients will now have the option to incorporate Hinge Health's programs into their employee benefits packages, providing a convenient and effective way to address musculos As a healthcare IT expert, write a 50-80 extractive summarization summary for social media platforms, that is focused, accurate, and strictly reflects the content based on a blog post from the given URL. The summary should include all headings from the blog post, with inline hashtags for each heading. When including the inline hashtags, use specific hashtags related to the headings rather than generic healthcare or technology hashtags. If the headings in the blog post are too long or unclear, feel free to rephrase them into shorter, clearer versions that still convey the main idea. The target audience is other healthcare IT professionals.Following is the title and url. Hinge Health partners with employee benefits company Sun Life https://www.mobihealthnews.com/news/hinge-health-partners-employee-benefits-company-sun-life { "id": "chatcmpl-9ntoaHMiGYQ9I7hOpTB9GmpJ0qzeu", "object": "chat.completion", "created": 1721679652, "model": "gpt-3.5-turbo-0125", "choices": [ { "index": 0, "message": { "role": "assistant", "content": "Title: Hinge Health partners with Sun Life for employee benefits #HingeHealth #SunLifennHinge Health, a digital health company focused on musculoskeletal conditions, has partnered with Sun Life, an employee benefits provider, to offer their digital health solutions to Sun Life's clients. #DigitalHealth #MusculoskeletalConditionsnnThe partnership aims to provide Sun Life's clients with access to Hinge Health's virtual physical therapy and coaching programs, which have been shown to improve outcomes for individuals with chronic musculoskeletal conditions. #VirtualPhysicalTherapy #CoachingProgramsnnSun Life's clients will now have the option to incorporate Hinge Health's programs into their employee benefits packages, providing a convenient and effective way to address musculos" }, "logprobs": null, "finish_reason": "length" } ], "usage": { "prompt_tokens": 170, "completion_tokens": 150, "total_tokens": 320 }, "system_fingerprint": null } Prompt Tokens - 170 |
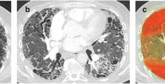
Orchestrating explainable artificial intelligence for multimodal and longitudinal data in medical imagingnpj Digital Medicine - (Tuesday July 23, 2024) - AI/ Frequent Updates/ npj Digital Medicine | |
![]() | Explainable artificial intelligence (XAI) has experienced a vast increase in recognition over the last few years. While the technical developments are manifold, less focus has been placed on the clinical applicability and usability of... Summary: #Introduction The blog post discusses the importance of explainable artificial intelligence (XAI) in medical imaging for analyzing multimodal and longitudinal data. XAI is crucial for ensuring transparency and trust in AI-driven healthcare solutions.#Challenges in Medical Imaging Medical imaging poses unique challenges for AI due to the complexity of multimodal and longitudinal data. XAI helps address these challenges by providing interpretable results and insights.#Benefits of XAI in Healthcare XAI offers several benefits in healthcare, including improved decision-making, enhanced patient care, and increased efficiency in diagnosing and treating diseases.#Applications of XAI in Medical Imaging XAI can be applied in various areas of medical imaging, such as image segmentation, disease classification, and As a healthcare IT expert, write a 50-80 extractive summarization summary for social media platforms, that is focused, accurate, and strictly reflects the content based on a blog post from the given URL. The summary should include all headings from the blog post, with inline hashtags for each heading. When including the inline hashtags, use specific hashtags related to the headings rather than generic healthcare or technology hashtags. If the headings in the blog post are too long or unclear, feel free to rephrase them into shorter, clearer versions that still convey the main idea. The target audience is other healthcare IT professionals.Following is the title and url. Orchestrating explainable artificial intelligence for multimodal and longitudinal data in medical imaging https://www.nature.com/articles/s41746-024-01190-w { "id": "chatcmpl-9ntoKUtQC0w9IGV0aNaf3JfCDN6hp", "object": "chat.completion", "created": 1721679636, "model": "gpt-3.5-turbo-0125", "choices": [ { "index": 0, "message": { "role": "assistant", "content": "Summary:n#IntroductionnThe blog post discusses the importance of explainable artificial intelligence (XAI) in medical imaging for analyzing multimodal and longitudinal data. XAI is crucial for ensuring transparency and trust in AI-driven healthcare solutions.nn#Challenges in Medical ImagingnMedical imaging poses unique challenges for AI due to the complexity of multimodal and longitudinal data. XAI helps address these challenges by providing interpretable results and insights.nn#Benefits of XAI in HealthcarenXAI offers several benefits in healthcare, including improved decision-making, enhanced patient care, and increased efficiency in diagnosing and treating diseases.nn#Applications of XAI in Medical ImagingnXAI can be applied in various areas of medical imaging, such as image segmentation, disease classification, and" }, "logprobs": null, "finish_reason": "length" } ], "usage": { "prompt_tokens": 169, "completion_tokens": 150, "total_tokens": 319 }, "system_fingerprint": null } Prompt Tokens - 169 |
Duke launches $20M incubator to turn academic research into industry productsMobiHealthNews - (Monday July 22, 2024) - Frequent Updates/ MobiHealthNews | |
![]() | Duke-NUS Medical School is launching a $20 million incubator, LIVE Ventures, to help commercialize academic research projects and transform scientific breakthroughs into clinical applications. The incubator aims to supply academic innovators with expertise and resources... #DukeLaunchesIncubator Duke University has announced the launch of a $20M incubator to bridge the gap between academic research and industry products. The initiative aims to accelerate the commercialization of healthcare innovations developed within the university. #HealthcareInnovation#FundingOpportunities The $20M funding will support projects that have the potential to transform healthcare delivery and improve patient outcomes. This financial support will enable researchers to develop their ideas into market-ready products. #ResearchFunding#Collaboration The incubator will foster collaboration between researchers, industry experts, and investors to bring cutting-edge technologies to the market. By leveraging the expertise of various stakeholders, Duke aims to drive innovation in healthcare IT. # As a healthcare IT expert, write a 50-80 extractive summarization summary for social media platforms, that is focused, accurate, and strictly reflects the content based on a blog post from the given URL. The summary should include all headings from the blog post, with inline hashtags for each heading. When including the inline hashtags, use specific hashtags related to the headings rather than generic healthcare or technology hashtags. If the headings in the blog post are too long or unclear, feel free to rephrase them into shorter, clearer versions that still convey the main idea. The target audience is other healthcare IT professionals.Following is the title and url. Duke launches $20M incubator to turn academic research into industry products https://www.mobihealthnews.com/news/duke-launches-20m-incubator-turn-academic-research-industry-products { "id": "chatcmpl-9nss2IXpgh3QB9ZaftlsdpvjASLDG", "object": "chat.completion", "created": 1721676022, "model": "gpt-3.5-turbo-0125", "choices": [ { "index": 0, "message": { "role": "assistant", "content": "#DukeLaunchesIncubatornDuke University has announced the launch of a $20M incubator to bridge the gap between academic research and industry products. The initiative aims to accelerate the commercialization of healthcare innovations developed within the university. #HealthcareInnovationnn#FundingOpportunitiesnThe $20M funding will support projects that have the potential to transform healthcare delivery and improve patient outcomes. This financial support will enable researchers to develop their ideas into market-ready products. #ResearchFundingnn#CollaborationnThe incubator will foster collaboration between researchers, industry experts, and investors to bring cutting-edge technologies to the market. By leveraging the expertise of various stakeholders, Duke aims to drive innovation in healthcare IT. #" }, "logprobs": null, "finish_reason": "length" } ], "usage": { "prompt_tokens": 179, "completion_tokens": 150, "total_tokens": 329 }, "system_fingerprint": null } Prompt Tokens - 179 |
How to Implement Zero Trust Without Disrupting Clinical WorkflowsHealthTech Magazine - (Monday July 22, 2024) - Frequent Updates/ HealthTech Magazine | |
![]() | Faced with rising threats, healthcare IT leaders are increasingly turning to zero trust. As a cybersecurity framework, zero trust requires all users, both inside and outside an organization’s network, to be authenticated, authorized and... Summary: Implementing Zero Trust in healthcare IT systems can be challenging, but it is crucial to enhance security without disrupting clinical workflows. By following key strategies, such as network segmentation, least privilege access, and continuous monitoring, healthcare organizations can successfully deploy Zero Trust architecture. Leveraging automation tools and user behavior analytics can help detect and mitigate security threats effectively. Collaboration between IT and clinical teams is essential to ensure seamless integration of Zero Trust principles while maintaining operational efficiency. #ZeroTrust #NetworkSegmentation #LeastPrivilegeAccess #ContinuousMonitoring #AutomationTools #UserBehaviorAnalytics #ITClinicalCollaboration #OperationalEfficiency As a healthcare IT expert, write a 50-80 extractive summarization summary for social media platforms, that is focused, accurate, and strictly reflects the content based on a blog post from the given URL. The summary should include all headings from the blog post, with inline hashtags for each heading. When including the inline hashtags, use specific hashtags related to the headings rather than generic healthcare or technology hashtags. If the headings in the blog post are too long or unclear, feel free to rephrase them into shorter, clearer versions that still convey the main idea. The target audience is other healthcare IT professionals.Following is the title and url. How to Implement Zero Trust Without Disrupting Clinical Workflows https://healthtechmagazine.net/article/2024/07/how-implement-zero-trust-without-disrupting-clinical-workflows { "id": "chatcmpl-9nsgJydbDgrYd6ipNMe1Vnh9xakWN", "object": "chat.completion", "created": 1721675295, "model": "gpt-3.5-turbo-0125", "choices": [ { "index": 0, "message": { "role": "assistant", "content": "Summary:nImplementing Zero Trust in healthcare IT systems can be challenging, but it is crucial to enhance security without disrupting clinical workflows. By following key strategies, such as network segmentation, least privilege access, and continuous monitoring, healthcare organizations can successfully deploy Zero Trust architecture. Leveraging automation tools and user behavior analytics can help detect and mitigate security threats effectively. Collaboration between IT and clinical teams is essential to ensure seamless integration of Zero Trust principles while maintaining operational efficiency. #ZeroTrust #NetworkSegmentation #LeastPrivilegeAccess #ContinuousMonitoring #AutomationTools #UserBehaviorAnalytics #ITClinicalCollaboration #OperationalEfficiency" }, "logprobs": null, "finish_reason": "stop" } ], "usage": { "prompt_tokens": 178, "completion_tokens": 124, "total_tokens": 302 }, "system_fingerprint": null } Prompt Tokens - 178 |
LLMs Fall Short in Medical Accuracy Compared to Human ExpertsHIT Consultant - (Monday July 22, 2024) - AI/ Digital Health/ Frequent Updates/ HIT Consultant | |
![]() | What You Should Know: – Kahun, a company specializing in evidence-based clinical AI, has released a new study comparing the medical capabilities of popular large language models (LLMs) to human experts. – The findings... Title: LLMs Fall Short in Medical Accuracy Compared to Human Experts#Introduction In the world of healthcare IT, the use of Language Model Models (LLMs) is becoming increasingly popular for various applications. However, a recent study has shown that LLMs may not be as accurate as human medical professionals when it comes to medical accuracy.#Study Findings The study compared the performance of LLMs to that of medical professionals in diagnosing medical conditions and found that LLMs fell short in terms of accuracy. This raises concerns about the reliability of using LLMs for medical decision-making.#Limitations of LLMs One of the main limitations of LLMs is their inability to understand context and nuances in medical As a healthcare IT expert, write a 50-80 extractive summarization summary for social media platforms, that is focused, accurate, and strictly reflects the content based on a blog post from the given URL. The summary should include all headings from the blog post, with inline hashtags for each heading. When including the inline hashtags, use specific hashtags related to the headings rather than generic healthcare or technology hashtags. If the headings in the blog post are too long or unclear, feel free to rephrase them into shorter, clearer versions that still convey the main idea. The target audience is other healthcare IT professionals.Following is the title and url. LLMs Fall Short in Medical Accuracy Compared to Human Experts https://hitconsultant.net/2024/07/22/llms-fall-short-in-medical-accuracy-compared-to-medical-professionals/ { "id": "chatcmpl-9nrvx9w9mhQbMK4F5PwpVoUamElAQ", "object": "chat.completion", "created": 1721672421, "model": "gpt-3.5-turbo-0125", "choices": [ { "index": 0, "message": { "role": "assistant", "content": "Title: LLMs Fall Short in Medical Accuracy Compared to Human Expertsnn#IntroductionnIn the world of healthcare IT, the use of Language Model Models (LLMs) is becoming increasingly popular for various applications. However, a recent study has shown that LLMs may not be as accurate as human medical professionals when it comes to medical accuracy.nn#Study FindingsnThe study compared the performance of LLMs to that of medical professionals in diagnosing medical conditions and found that LLMs fell short in terms of accuracy. This raises concerns about the reliability of using LLMs for medical decision-making.nn#Limitations of LLMsnOne of the main limitations of LLMs is their inability to understand context and nuances in medical" }, "logprobs": null, "finish_reason": "length" } ], "usage": { "prompt_tokens": 182, "completion_tokens": 150, "total_tokens": 332 }, "system_fingerprint": null } Prompt Tokens - 182 |
Why #outsource your #software and #hardware development? | |
![]() | To keep focus on what matters and what matters big surprise is not the product. So, that's why if I were a startup founder I would completely OUTSOURCE my hardware development and software development.#digitalhealth... Summary:In the blog post "Why Outsource Your Software and Hardware Development?" the author discusses the benefits of outsourcing IT development in healthcare.#CostEfficiency: Outsourcing can save money by reducing overhead costs and allowing access to specialized expertise without the need for in-house resources.#FocusonCoreBusiness: By outsourcing IT development, healthcare organizations can focus on their core business activities and leave technical tasks to experts.#Access to Talent: Outsourcing provides access to a global talent pool of skilled IT professionals who can bring innovative solutions to healthcare projects.#Scalability: Outsourcing allows healthcare organizations to scale their IT development efforts up or down based on project needs, without the need to hire or lay off staff.#Faster Time As a healthcare IT expert, write a 50-80 extractive summarization summary for social media platforms, that is focused, accurate, and strictly reflects the content based on a blog post from the given URL. The summary should include all headings from the blog post, with inline hashtags for each heading. When including the inline hashtags, use specific hashtags related to the headings rather than generic healthcare or technology hashtags. If the headings in the blog post are too long or unclear, feel free to rephrase them into shorter, clearer versions that still convey the main idea. The target audience is other healthcare IT professionals.Following is the title and url. Why #outsource your #software and #hardware development? https://www.youtube.com/watch?v=6vgRChgH_pk { "id": "chatcmpl-9nvnry2iLI03wUfkQHW0miDPd7IW3", "object": "chat.completion", "created": 1721687295, "model": "gpt-3.5-turbo-0125", "choices": [ { "index": 0, "message": { "role": "assistant", "content": "Summary:nnIn the blog post "Why Outsource Your Software and Hardware Development?" the author discusses the benefits of outsourcing IT development in healthcare. nn#CostEfficiency: Outsourcing can save money by reducing overhead costs and allowing access to specialized expertise without the need for in-house resources. nn#FocusonCoreBusiness: By outsourcing IT development, healthcare organizations can focus on their core business activities and leave technical tasks to experts.nn#Access to Talent: Outsourcing provides access to a global talent pool of skilled IT professionals who can bring innovative solutions to healthcare projects.nn#Scalability: Outsourcing allows healthcare organizations to scale their IT development efforts up or down based on project needs, without the need to hire or lay off staff.nn#Faster Time" }, "logprobs": null, "finish_reason": "length" } ], "usage": { "prompt_tokens": 164, "completion_tokens": 150, "total_tokens": 314 }, "system_fingerprint": null } Prompt Tokens - 164 |
Sonio Unveils AI-Powered Prenatal Diagnosis TrainingHIT Consultant - (Monday July 22, 2024) - AI/ Digital Health/ Frequent Updates/ HIT Consultant | |
![]() | What You Should Know: – Sonio, a leading MedTech company specializing in women’s and children’s health, has announced the launch of soniopedia, a groundbreaking solution that utilizes artificial intelligence (AI) to revolutionize prenatal diagnosis... #SonioAI #PrenatalDiagnosis #HealthcareITSonio, a healthcare technology company, has introduced a new AI-powered training program for prenatal diagnosis. The program aims to improve accuracy and efficiency in diagnosing prenatal conditions using artificial intelligence.#Benefits of AI-Powered TrainingThe AI-powered training program offers several benefits, including increased accuracy in prenatal diagnosis, improved efficiency in healthcare processes, and enhanced patient outcomes. Healthcare IT professionals can leverage this technology to provide better care to pregnant patients.#How Sonio's AI WorksSonio's AI technology utilizes machine learning algorithms to analyze prenatal diagnostic data and provide real-time insights to healthcare providers. This enables quicker and more accurate diagnosis of prenatal conditions, leading to better treatment outcomes for As a healthcare IT expert, write a 50-80 extractive summarization summary for social media platforms, that is focused, accurate, and strictly reflects the content based on a blog post from the given URL. The summary should include all headings from the blog post, with inline hashtags for each heading. When including the inline hashtags, use specific hashtags related to the headings rather than generic healthcare or technology hashtags. If the headings in the blog post are too long or unclear, feel free to rephrase them into shorter, clearer versions that still convey the main idea. The target audience is other healthcare IT professionals.Following is the title and url. Sonio Unveils AI-Powered Prenatal Diagnosis Training https://hitconsultant.net/2024/07/22/sonio-unveils-ai-powered-prenatal-diagnosis-training/ { "id": "chatcmpl-9nrvghHky8EoK44mWp6UwXM1dQrW1", "object": "chat.completion", "created": 1721672404, "model": "gpt-3.5-turbo-0125", "choices": [ { "index": 0, "message": { "role": "assistant", "content": "#SonioAI #PrenatalDiagnosis #HealthcareITnnSonio, a healthcare technology company, has introduced a new AI-powered training program for prenatal diagnosis. The program aims to improve accuracy and efficiency in diagnosing prenatal conditions using artificial intelligence.nn#Benefits of AI-Powered TrainingnnThe AI-powered training program offers several benefits, including increased accuracy in prenatal diagnosis, improved efficiency in healthcare processes, and enhanced patient outcomes. Healthcare IT professionals can leverage this technology to provide better care to pregnant patients.nn#How Sonio's AI WorksnnSonio's AI technology utilizes machine learning algorithms to analyze prenatal diagnostic data and provide real-time insights to healthcare providers. This enables quicker and more accurate diagnosis of prenatal conditions, leading to better treatment outcomes for" }, "logprobs": null, "finish_reason": "length" } ], "usage": { "prompt_tokens": 179, "completion_tokens": 150, "total_tokens": 329 }, "system_fingerprint": null } Prompt Tokens - 179 |
AdventHealth virtual MRI program reduces inpatient transfers by 94%Healthcare IT news - (Monday July 22, 2024) - Frequent Updates/ Healthcare IT News | |
![]() | Not too long ago, AdventHealth had a high demand in its Central and East Florida divisions for advanced MRI services. The health system's centralized MRI services at its Orlando campus, though effective, presented areas... AdventHealth virtual MRI program reduces inpatient transfers by 94% #VirtualMRIProgramAdventHealth implements remote MRI technology to improve patient care #RemoteMRITechnologyReducing inpatient transfers with virtual MRI program #ReducingTransfersBenefits of virtual MRI program for healthcare facilities #BenefitsOfVirtualMRIImpact of virtual MRI program on patient outcomes #PatientOutcomesAdventHealth's success story with virtual MRI program #SuccessStoryImplementing virtual MRI program in healthcare IT #ImplementingVirtualMRIChallenges and considerations for virtual MRI programs #ChallengesAndConsiderationsKey takeaways for healthcare IT professionals #KeyTakeawaysAdventHealth's virtual MRI program leads to 94% reduction in As a healthcare IT expert, write a 50-80 extractive summarization summary for social media platforms, that is focused, accurate, and strictly reflects the content based on a blog post from the given URL. The summary should include all headings from the blog post, with inline hashtags for each heading. When including the inline hashtags, use specific hashtags related to the headings rather than generic healthcare or technology hashtags. If the headings in the blog post are too long or unclear, feel free to rephrase them into shorter, clearer versions that still convey the main idea. The target audience is other healthcare IT professionals.Following is the title and url. AdventHealth virtual MRI program reduces inpatient transfers by 94% https://www.healthcareitnews.com/news/adventhealth-virtual-mri-program-reduces-inpatient-transfers-94 { "id": "chatcmpl-9nqzxFDmJvKJ8mtOFa4SJFjtkq9NU", "object": "chat.completion", "created": 1721668825, "model": "gpt-3.5-turbo-0125", "choices": [ { "index": 0, "message": { "role": "assistant", "content": "AdventHealth virtual MRI program reduces inpatient transfers by 94% #VirtualMRIProgramnnAdventHealth implements remote MRI technology to improve patient care #RemoteMRITechnologynnReducing inpatient transfers with virtual MRI program #ReducingTransfersnnBenefits of virtual MRI program for healthcare facilities #BenefitsOfVirtualMRInnImpact of virtual MRI program on patient outcomes #PatientOutcomesnnAdventHealth's success story with virtual MRI program #SuccessStorynnImplementing virtual MRI program in healthcare IT #ImplementingVirtualMRInnChallenges and considerations for virtual MRI programs #ChallengesAndConsiderationsnnKey takeaways for healthcare IT professionals #KeyTakeawaysnnAdventHealth's virtual MRI program leads to 94% reduction in" }, "logprobs": null, "finish_reason": "length" } ], "usage": { "prompt_tokens": 176, "completion_tokens": 150, "total_tokens": 326 }, "system_fingerprint": null } Prompt Tokens - 176 |
Elucid Appoints Dr. Kelly Huang as CEO – Exec HiresHIT Consultant - (Monday July 22, 2024) - Digital Health/ Frequent Updates/ HIT Consultant | |
![]() | Dr. Kelly Huang, CEO at Elucid What You Should Know: – Elucid, a company pioneering AI-powered medical technology for cardiovascular disease (CVD), has named Dr. Kelly Huang, PhD as its new President and Chief... #ElucidAppointsDrKellyHuangasCEO #AboutDrKellyHuang #ExperienceandBackground #VisionforElucid #FuturePlansandStrategiesElucid, a leading healthcare IT company, has announced the appointment of Dr. Kelly Huang as its new CEO. Dr. Huang brings a wealth of experience and expertise in the healthcare industry, having previously served in executive roles at several prominent organizations.Dr. Huang's background includes a strong focus on leveraging technology to improve patient care and streamline healthcare operations. With a proven track record of success in driving innovation and growth, she is well-positioned to lead Elucid to new heights.In her new role, Dr. Huang envisions expanding Elucid's reach and impact As a healthcare IT expert, write a 50-80 extractive summarization summary for social media platforms, that is focused, accurate, and strictly reflects the content based on a blog post from the given URL. The summary should include all headings from the blog post, with inline hashtags for each heading. When including the inline hashtags, use specific hashtags related to the headings rather than generic healthcare or technology hashtags. If the headings in the blog post are too long or unclear, feel free to rephrase them into shorter, clearer versions that still convey the main idea. The target audience is other healthcare IT professionals.Following is the title and url. Elucid Appoints Dr. Kelly Huang as CEO – Exec Hires https://hitconsultant.net/2024/07/22/elucid-appoints-dr-kelly-huang-as-ceo/ { "id": "chatcmpl-9nsrmmvdgf0N7TbImX4ipcgv4KfJc", "object": "chat.completion", "created": 1721676006, "model": "gpt-3.5-turbo-0125", "choices": [ { "index": 0, "message": { "role": "assistant", "content": "#ElucidAppointsDrKellyHuangasCEOn#AboutDrKellyHuangn#ExperienceandBackgroundn#VisionforElucidn#FuturePlansandStrategiesnnElucid, a leading healthcare IT company, has announced the appointment of Dr. Kelly Huang as its new CEO. Dr. Huang brings a wealth of experience and expertise in the healthcare industry, having previously served in executive roles at several prominent organizations.nnDr. Huang's background includes a strong focus on leveraging technology to improve patient care and streamline healthcare operations. With a proven track record of success in driving innovation and growth, she is well-positioned to lead Elucid to new heights.nnIn her new role, Dr. Huang envisions expanding Elucid's reach and impact" }, "logprobs": null, "finish_reason": "length" } ], "usage": { "prompt_tokens": 181, "completion_tokens": 150, "total_tokens": 331 }, "system_fingerprint": null } Prompt Tokens - 181 |











