AI News
![]() Duke Health and Microsoft partner to ‘ethically harness’ generative AI
Healthcare IT news - (Wednesday August 2, 2023) A new five-year partnership between Duke and Microsoft includes the creation of a Duke Health AI Innovation Lab and Center of Excellence. WHY IT MATTERSAs part of the new agreement, Microsoft says it will construct… ![]() Geisinger Launches Remote Heart Failure Monitoring Program
HIT Consultant - (Wednesday August 2, 2023) What You Should Know: Geisinger, an integrated health care delivery and coverage organization serving members in central and northeastern Pennsylvania forms a strategic collaboration with Bodyport, a virtual care company focused on heart failure to… |
![]() Glytec Simplifies Glycemic Management for Clinicians with Enhanced Epic EHR Integration
HIT Consultant - (Wednesday August 2, 2023) What You Should Know: Glytec, the only provider of cloud-based insulin management software across the continuum of care, today unveiled the latest version of its Glucommander® insulin dosing software that makes it easier for providers, nurses… ![]() French Startup Awarded FDA Clearance for AI-Driven Prenatal Ultrasounds
HIT Consultant - (Wednesday August 2, 2023) What You Should Know: Sonio, the artificial intelligence company revolutionizing fetal ultrasounds, announced today that their proprietary approach to ultrasound exams on pregnant people has now been recognized in the United States as a product that… |
![]() Cone Health sees big wins with tech-enabled streamlining of peer review process
Healthcare IT news - (Wednesday August 2, 2023) Cone Health is a North Carolina-based nonprofit health system serving patients across 150 locations, including five hospitals and more than 120 physician practices.THE PROBLEM ![]() Suki Launches Mac App for AI-Powered Clinical Diction
HIT Consultant - (Wednesday August 2, 2023) What You Should Know: Suki, the leader in voice artificial intelligence (AI) technology for healthcare, recently announced the launch of a native Mac app as part of its Suki Dictate offering to further its mission… |
![]() Neurocritical AI solution to be deployed into A&E At MKUH
Digital Health - (Wednesday August 2, 2023) Blackford, the strategic AI platform and solutions provider, has partnered with Qure.ai, a provider of AI solutions for radiology, to deploy the neurocritical AI solution, qER, at Milton Keynes University Hospital NHS Foundation Trust… ![]() Several Healthcare Data Breaches Unfold From MOVEit Transfer Cyberattack
Health IT Security - (Wednesday August 2, 2023) By Sarai Rodriguez August 02, 2023 – In a recent string of cyberattacks involving the MOVEit Transfer system, Allegheny County has stood out as one of the largest affected, with a staggering 689,686 individuals data exposed. These… |
![]() Four Benefits of Drones for the Healthcare Industry | Healthcare IT Today
Healthcare IT Today - (Wednesday August 2, 2023) The following is a guest article by Greg James, VP of Business Development at DroneUp ![]() AI Algorithm Utilizes Body Measurements to Forecast Mortality
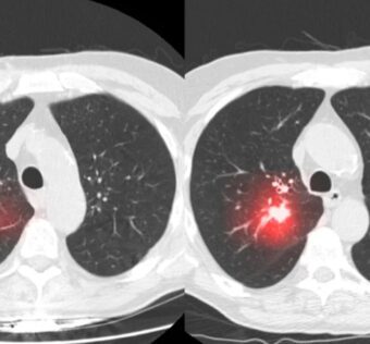
DistilINFO Hospital IT - (Wednesday August 2, 2023) AI algorithms utilizing body measurements predict lung cancer, CVD, and all-cause mortality. Researchers analyzed CT chest scans, showing AI-obtained body composition measurements improved lung cancer death and all-cause mortality prediction. Another study used AI… |










