AI News
![]() GE HealthCare’s AI Revolutionizes Healthcare at RSNA 2023
DistilINFO Hospital IT - (Thursday November 23, 2023) GE HealthCare at RSNA 2023: Pioneering AI in Healthcare Transformation. Dr. Taha Kass-Hout, MD, MS, Chief Technology Officer, unveils AI innovations for seamless patient care. The event showcases AI-enabled solutions, emphasizing data’s untapped potential… ![]() Transpara AI | Revolutionizing Early Cancer Detection in Radiology
DistilINFO Hospital IT - (Thursday November 23, 2023) ScreenPoint Medical’s Transpara AI has analyzed 5 million mammograms and 1 million Tomosynthesis studies, spotlighting at RSNA 2023. Studies reveal its role as a ‘second pair’ of eyes aiding cancer detection, and reducing recall… |
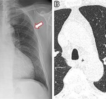
![]() AI’s Role in Identifying Non-Smokers’ Lung Cancer Risk
DistilINFO Hospital IT - (Thursday November 23, 2023) AI’s prowess predicts lung cancer risk in non-smokers through routine chest X-rays. The study unveils an advanced “CXR-Lung-Risk” model, identifying 28% of participants at significantly higher risk. Dr. Lu emphasizes its pivotal role amid… ![]() Real-time machine learning model to predict in-hospital cardiac arrest using heart rate variability in ICU
npj Digital Medicine - (Thursday November 23, 2023) Predicting in-hospital cardiac arrest in patients admitted to an intensive care unit (ICU) allows prompt interventions to improve patient outcomes. We developed and validated a machine learning-based real-time model for in-hospital cardiac arrest predictions… |
![]() One aged care provider’s solution to meet rural service demand amid staff shortage
Healthcare IT news - (Thursday November 23, 2023) Australia is facing a shortfall of at least 110,000 aged care workers by 2030, according to a projection by the Committee for Economic Development of Australia. The issue is expected to have a profound… ![]() Layer Health launches with $4M from Google Ventures, General Catalyst
MobiHealthNews - (Thursday November 23, 2023) Healthcare AI company Layer Health, spun out of MIT, announced its launch with $4 million in funding from GV (Google Ventures), General Catalyst and Inception Health. WHAT THEY DO |
![]() Sunnyside Secures $11.5M To Help People Build Healthier Drinking Habits – MedCity News
MedCity News - (Thursday November 23, 2023) About two-thirds of adults in the U.S. drink alcohol, but about one in three are trying to drink less. Sunnyside, which announced it raised $11.5 million in Series A funding last week, aims to… ![]() Use Patterns of Smartphone Apps and Wearable Devices Supporting Physical Activity and Exercise: Large-Scale Cross-Sectional Survey
JMIR mHealth and uHealth - (Thursday November 23, 2023) Background: Physical inactivity is a global health issue, and mobile health (mHealth) applications (apps) are expected to play an important role in promoting physical activity. Empirical studies have demonstrated the efficacy and efficiency of… |
![]() Technical Assistance Received by Older Adults to Use Commercially Available Physical Activity Monitors (Ready Steady 3.0 Trial): Ad-Hoc Descriptive Longitudinal Study
JMIR mHealth and uHealth - (Thursday November 23, 2023) Background: Despite evidence that regular physical activity (PA) among older adults confers numerous health and functional benefits, PA participation rates are low. Using commercially available wearable PA monitors (PAMs) is one way to augment… ![]() Vivodyne launches with $38M to create lab-grown human organs
MobiHealthNews - (Thursday November 23, 2023) Philadelphia-based AI-enabled biotech company Vivodyne announced it closed a $38 million seed funding round led by Khosla Ventures.CS Ventures, Kairos Ventures, Bison Ventures and MBX Capital also participated in the round. |










