AI News
![]() NHS England’s digital leaders to front keynote sessions at Rewired 2024
Digital Health - (Wednesday December 13, 2023) Senior digital leaders from NHS England will be speaking as part of back-to-back keynote sessions on day two of Rewired 2024, which takes place at the NEC Birmingham from 12-13 March. Dr Vin Diwakar,… ![]() Redefining Chronic Kidney Disease Management with Remote Patient Monitoring
HIT Consultant - (Wednesday December 13, 2023) Lucienne Marie Ide, M.D., PH.D., Founder & CEO of Rimidi Chronic kidney disease may be one of the biggest killers of American adults, but individuals affected may not even know it. Today, more than 37… |
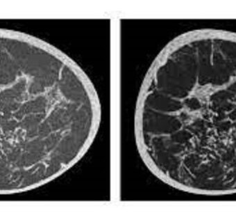
![]() Koning Health Unveils Cutting-Edge Breast CT Technology at RSNA 2023
DistilINFO Hospital IT - (Wednesday December 13, 2023) RSNA 2023 showcased Koning Health’s groundbreaking Koning Vera Breast CT, revolutionizing breast cancer detection with its unparalleled 3D imaging and biopsy capabilities. The event underscored the urgency for early cancer detection, emphasizing KBCT’s ability… ![]() Exploring the Synergy Between Telehealth and Artificial Intelligence
DistilINFO Hospital IT - (Wednesday December 13, 2023) Telehealth and AI merge to optimize care pathways, aiding patient triage and remote diagnosis. Piotr Orzechowski, CEO of Infermedica, elucidates AI’s role in telemedicine advancement, addressing care uncertainties and boosting healthcare efficiency. Integrating AI-powered… |
![]() AstraZeneca Acquires Icosavax for $1.1B to Advance RSV and hMPV Vaccine Development
HIT Consultant - (Wednesday December 13, 2023) What You Should Know: – AstraZeneca has announced the acquisition of Icosavax, a biopharmaceutical company developing a promising vaccine targeting both RSV and hMPV, for a total of up to $1.1 billion. – This acquisition strengthens… ![]() Healthcare Organizations Struggle to Meet Cures Act Data Sharing Requirements, Verato Survey Reveals
HIT Consultant - (Wednesday December 13, 2023) What You Should Know: – A new survey from Verato, a healthcare identity management company, reveals significant challenges faced by healthcare organizations in meeting the data sharing requirements of the 21st Century Cures Act. The… |
![]() Fruit Street Health Sues Sharecare for $25M for Stealing Diabetes Program
HIT Consultant - (Wednesday December 13, 2023) What You Should Know: – Fruit Street Health, a New York-based healthcare startup, has filed a lawsuit against Sharecare, a healthcare technology company, seeking $25M in damages for alleged breach of contract and fiduciary duties. –… ![]() UC San Diego Health Appoints Inaugural Chief Health AI Officer
HIT Consultant - (Wednesday December 13, 2023) Karandeep Singh, MD, Chief Health AI Officer at UC San Diego Health What You Should Know: – UC San Diego Health has announced the appointment of Dr. Karandeep Singh, MD, as the Joan and Irwin Jacobs… |
![]() Privia Medical Group Launches Privia Wellness in Partnership with Iron Health
HIT Consultant - (Wednesday December 13, 2023) What You Should Know: – Privia Medical Group Gulf Coast is pioneering a novel approach to women’s healthcare by launching Privia Wellness, a new ancillary service offering comprehensive health and wellness solutions. – Powered by Iron… ![]() Americans’ Healthcare Costs Are Rising With the Pace of Inflation, Report Says – MedCity News
MedCity News - (Wednesday December 13, 2023) While Americans’ healthcare costs are definitely rising, they don’t seem to be rising much faster than the pace of inflation, according to a report published Tuesday by price transparency software startup Turquoise Health. |










